Dental Implants Cost in California San Jose, USA (2026 Expert Guide)

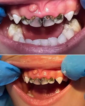
Dental implants have become one of the most trusted and long-lasting solutions for missing teeth in the United States. In San Jose, California, many patients are choosing implants because they provide natural function, improved confidence, and excellent long-term durability.
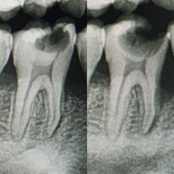
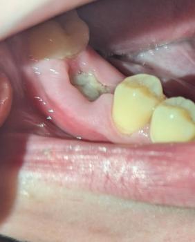
Whether you lost a tooth from decay, gum disease, sports injury, or aging, modern dental implant treatment can restore both appearance and oral health. However, one of the biggest questions patients ask is:
“How much do dental implants cost in San Jose, California?”


















