Dentures That Feel Natural, Look Beautiful.
Catastrophic Comeback: Treating Severe Decay and Periodontitis with Multi-Phase Dental Restoration
Severity:
Teeth Problems:
Urgent Dental Analysis: Catastrophic Decay and Severe Periodontitis
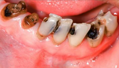
Based on the images provided, this is a case of Severe Generalized Dental Caries (Tooth Decay) coupled with Generalized Chronic Periodontitis (Gum Disease), necessitating aggressive and multi-phase treatment.
Full Analysis and Deep Diagnosis
The two images present distinct but interconnected dental catastrophes:
Image 1: Severe Decay (Black Cavity Case)
-
Diagnosis: Rampant Caries (Severe, widespread decay) and Advanced Tooth Structure Loss.
-
Examination:
-
Crown Destruction: The anterior (front) teeth show massive destruction of the enamel and dentin, leaving only sharp, translucent remnants of the original tooth structure. The decay has progressed to the point where much of the tooth crown is lost.
-
Pulp Involvement: The deep, black/brown discoloration strongly indicates the decay has reached the pulp (nerve) chamber in several teeth, leading to Necrotic Pulps (dead nerves) and the potential for Apical Abscesses (infections at the root tips).
-
Gum State: The gums appear red and swollen (gingivitis) and are receding from the compromised tooth roots, a sign of underlying periodontitis.
-
Image 2: Severe Calculus and Gingivitis (Bacteria Build-up Case)
-
Diagnosis: Heavy Supragingival and Subgingival Calculus (Tartar) leading to Generalized Gingivitis and likely Chronic Periodontitis.
-
Examination:
-
Calculus: There are thick, yellowish-brown deposits of hard calculus built up on the visible surfaces of the lower front teeth, particularly near the gum line.
-
Gingivitis: The gum tissue is red, puffy, and swollen, which is a classic symptom of inflammation caused by bacteria and toxins in the calculus.
-
Bone Loss: The significant amount of long-standing calculus suggests that bone loss has likely occurred, which defines the progression from gingivitis to chronic periodontitis.
-
Process to Execute and Time Frame to Heal
The treatment must be executed in a multi-phase sequence, prioritizing infection control and stability before restoration.
Phase 1: Emergency & Infection Control (Immediate)
-
Extraction/Root Canal Decisions: Radiographs (X-rays) are essential to determine which severely decayed teeth can be saved via Root Canal Treatment (if enough healthy root remains) and which are unsalvageable and require Extraction.
-
Pain/Infection Management: Prescribe antibiotics (if an active abscess is present) and pain medication.
Phase 2: Deep Cleaning and Gum Therapy (Scaling)
-
Scaling and Root Planing (SRP): Perform a Deep Cleaning over 1–4 appointments (depending on severity and patient tolerance). This involves removing the massive calculus deposits both above and below the gum line.
-
Polishing: Thorough polishing to prevent immediate recurrence of plaque build-up.
Phase 3: Restorative Work
-
Post & Core/Fillings: If teeth were saved by root canal, they must be rebuilt using Post and Core structures.
-
Crowns/Prosthesis: The heavily damaged and rebuilt teeth will require Full Coverage Crowns for protection and function.
-
Replacement: Extracted teeth must be replaced, likely using a Dental Bridge or, preferably, Dental Implants to restore function and prevent surrounding teeth from shifting.
Time Frame to Heal and The 14-Day Status
| Metric | Timeframe | 14-Day Status |
| Gum Healing (Post-SRP) | Complete tissue healing takes 4 to 6 weeks. | By 14 days, the severe swelling and bleeding will have dramatically reduced, and the gums will be tightening. Initial tenderness should be minimal. |
| Tooth Healing (Post-Extraction/RCT) | Healing for bone/socket takes 3–6 months for full restoration/implant placement. | By 14 days, post-extraction sockets should be closed and healing; post-RCT pain should be resolved. |
| Restorative Phase | The entire restoration phase (crowns, implants) may take several months depending on the complexity. | By 14 days, the patient is often still in the assessment/cleaning phase and not yet ready for final restorations. |
The Issue That Will Scale Up (Content Innovation)
The most severe issue that will scale up is Loss of Remaining Teeth due to uncontrollable recurrence of both decay and periodontitis.
The innovation must focus on patient education to prevent this dual threat:
| Issue | Scale-Up (Consequence) | Content Innovation |
| Recurrent Decay (Caries) | The remaining tooth structure and the new restorations will be quickly compromised if the extreme sugar/acid habit continues. | "The $\text{pH}$ Danger Zone": An animated infographic explaining the acid attack cycle, showing teeth dissolving below $\text{pH}$ 5.5, and highlighting the danger of frequent eating/snacking over total sugar intake. |
| Recurrent Periodontitis | Failure to floss and brush properly will allow plaque to immediately harden into new calculus within 24–72 hours, destroying the foundation (bone) for any new work. | "Floss or Fail" Micro-Course: A mandatory, gamified video module showing the specific, correct technique for reaching the hidden areas, particularly around implant sites or crown margins, stressing that proper technique is more important than effort. |
Visit Nearest Location Area
This complex, multi-disciplinary case requires a dental team experienced in restorative and periodontal therapies.
Search using our directory listing: https://cebudentalimplants.com/map-dental-clinic
Comments: This case requires a comprehensive treatment plan that starts with stabilizing the infections and ends with a long-term prosthetic solution. The most critical factor for success is the patient's immediate and permanent commitment to impeccable oral hygiene after the scaling and restorative work is complete.












