Exposed Gum Tissue Near Lower Molar Case Analysis
Exposed Gum Tissue Near Lower Molar Case Analysis (No Protective Skin)
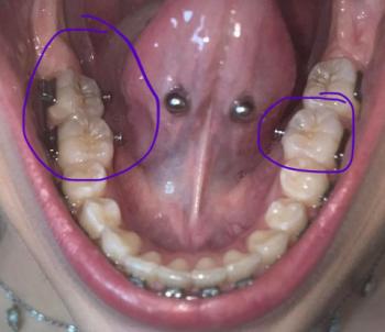
What Is Seen in This Case
The image shows an area near the lower back teeth where the gum tissue appears thin or missing, exposing the underlying soft tissue. The marked area (“no skin”) suggests loss of normal gum coverage, which can make the area sensitive, sore, and vulnerable to infection.
The nearby teeth appear intact, but the gum condition indicates localized tissue damage or recession.
















