From Pain to Perfect — We Care for Your Smile.
Tampus Dental Laboratory and Supplies Corporation - Brgy. Day-As, Cebu City / Where Art Meets Science in Every Smile

Dental Supply :
Geolocation Supplier:
Tampus Dental Laboratory and Supplies Corporation — Crafting Smiles with Strength, Precision, and Artistry
Slogan: “Where Art Meets Science in Every Smile.”
Messenger: https://www.facebook.com/JIPdent/
About Us
Located in the heart of Cebu, Tampus Dental Laboratory and Supplies Corporation has been at the forefront of dental innovation and craftsmanship, offering world-class dental prosthetics and materials to clinics across the Philippines.
From Zirconia Crowns to Titanium Base Restorations, we bring technology and artistry together to create smiles that are strong, natural, and made to last.
Address: 654 D. Jakosalem St., Brgy. Day-As, Cebu City, Philippines
Contact: (032) 255 6547 | (0922) 609 8184 | (0915) 713 6327
Email: tampus_123@yahoo.com
Facebook: Tampus Dental Laboratory and Supplies Corporation
Our Expertise & Services
Premium Dental Prosthetics
-
Porcelain Fused to Zirconia (PFZ) Crowns & Bridges – Combining the strength of zirconia with the biocompatibility of titanium for unmatched performance and aesthetics.
-
Full Arch Zirconia with Ti-Base – The first in the Philippines! Stronger, lighter, and more natural restorations for complete smile makeovers.
-
Emax Veneers and Crowns – Known for their lifelike translucency and superior strength.
-
Porcelain and Titanium Crowns – Lightweight, ultra-durable, and biocompatible for long-lasting smiles.
Custom Denture Solutions
-
Complete Dentures (Maxillary & Mandibular) – Designed for comfort, function, and beauty.
-
Flexible Dentures (Thermodent / Ivocap) – Comfortable, stain-resistant, and made to fit naturally.
-
Partial Dentures – Blending seamlessly with your natural teeth for restored confidence.
Digital & Precision Dentistry
-
Advanced CAD/CAM Technology ensures perfect fit and exceptional accuracy.
-
Our technicians use the latest tools and techniques to deliver consistent, reliable restorations every time.
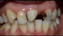
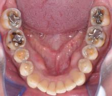
Short Story — “The Crown of Confidence”
When Dr. Dhin Desabille entrusted Tampus Dental Laboratory with a complex smile restoration, the goal was clear — to restore not just teeth, but confidence. Using Porcelain Fused to Zirconia Crowns with Titanium Base, our expert team delivered restorations so natural, they looked like real enamel.
The patient, once hesitant to smile, now beams with confidence — a living testament to the precision and care behind every Tampus creation.
“Every restoration we craft carries a story — of transformation, confidence, and artistry.”
Client Reviews
⭐️⭐️⭐️⭐️⭐️ “Unmatched Craftsmanship”
Tampus Dental Lab delivers restorations that blend beauty and function perfectly. Their Zirconia work is top-tier. — Dr. Desabille
⭐️⭐️⭐️⭐️⭐️ “Trusted by Cebu Dentists”
The precision and consistency of their crowns are exceptional. Patients love their new smiles! — Dr. Marissa T.
⭐️⭐️⭐️⭐️⭐️ “Professional and Reliable”
They understand what clinicians need — fast turnaround, great communication, and perfect results. — Dr. Carlo R.
Come Visit Us
Whether you’re a dental professional seeking a trusted partner or a patient looking for premium restorations, Tampus Dental Laboratory and Supplies Corporation welcomes you.
Experience precision, strength, and artistry — all in one smile.
Visit us at 654 D. Jakosalem St., Brgy. Day-As, Cebu City
Call (032) 255 6547 | (0922) 609 8184 | (0915) 713 6327
Map Location:











