"Just Remove It": Why the Easy Way Isn't Always the Right Way in Dentistry
Empowered Smiles - Your Teeth, Your Choice
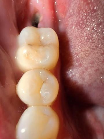
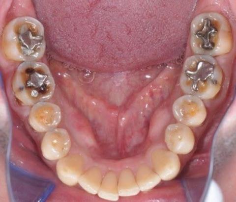
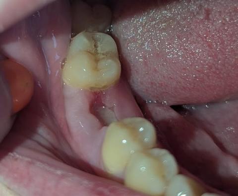
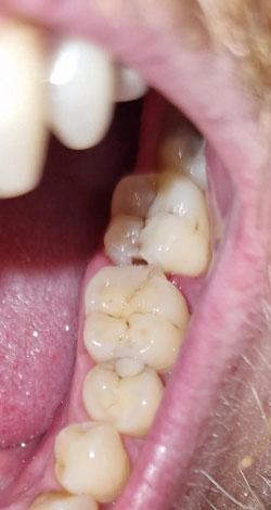
"Just Remove Them All": The Story of a Tooth That Didn't Need to Die
We’ve all heard the phrase, “If it hurts, just pull it out.” In the world of dentistry, especially in areas with limited access to advanced care, this can become a default solution. For many Filipinos, a visit to a dentist can be a frightening experience, not because of the pain, but because of the dreaded recommendation: "The easy way is to just remove it and wear a denture."












