Fast-Track Your Smile: Navigating Dry Socket Recovery and Choosing Your Quickest Replacement Option
Fast-Track Your Smile: Navigating Dry Socket Recovery and Choosing Your Quickest Replacement Option
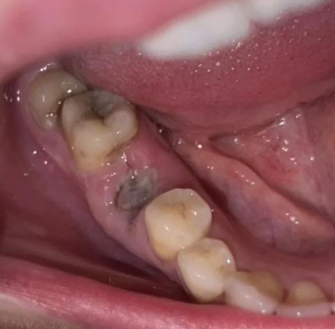
If you're dealing with the intense pain of a dry socket and already thinking about replacing the missing tooth, you're focused on one thing: speed. The frustration of a delayed healing process is real, and you want the fastest path to a complete, functional smile. Let's break down your recovery and future options with that clear goal in mind.
















