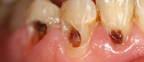
Localized Gum Recession on Premolar | Causes, Treatment, and Prevention
ocalized Gum Recession and Root Exposure on Lower Premolar – Full Dental Case Analysis (100% Zoom)
Medical Disclaimer
This analysis is image-based and for educational purposes only. A definitive diagnosis requires an in-person dental examination, periodontal probing, and dental X-rays. The findings below are based on visible clinical signs and accepted dental standards.















