Strong Teeth, Fresh Breath, Brighter You.
Teeth Misalignment with Gum Irritation - Zoomed Dental Case Analysis
Severity:
Teeth Problems:
Teeth Case – Zoom 100%
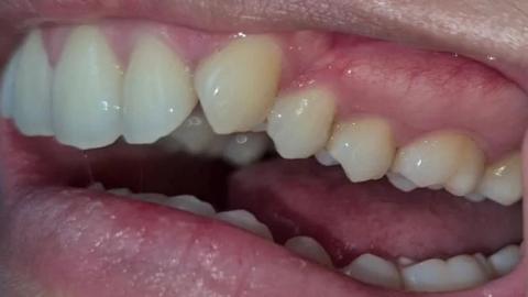
Focused Area: Upper and lower teeth alignment with surrounding gingival tissue
Full Analysis and Deep Visual Examination
This assessment is based solely on the provided image and does not replace a comprehensive dental examination, orthodontic evaluation, or dental X-rays.
Observed Findings
-
Noticeable tooth misalignment and crowding, particularly in the upper arch
-
Irregular tooth positioning creating plaque-retentive areas
-
Mild gingival redness and irritation, especially near crowded teeth
-
Uneven contact points making brushing and flossing more difficult
-
No obvious large cavities visible, but risk areas are present
Probable Diagnosis
-
Dental crowding and malocclusion
-
Plaque-induced gingivitis related to misaligned teeth
-
Increased long-term risk of periodontal disease and tooth wear
Recommended Treatment Process
Step 1: Full Mouth Scaling and Polishing (Day 1)
-
Ultrasonic scaling to remove plaque and early calculus
-
Manual scaling around crowded and overlapping teeth
-
Polishing to smooth enamel surfaces and reduce plaque retention
Estimated duration: 30–60 minutes
Local anesthesia: Usually not required unless sensitivity is present
Step 2: Alignment and Preventive Planning (Day 7–30)
-
Orthodontic consultation to assess alignment correction options
-
Consider clear aligners or braces depending on severity
-
Customized oral hygiene instruction for crowded teeth areas
Healing and Recovery Timeline
| Time Frame | Expected Outcome |
|---|---|
| Days 1–3 | Reduction in gum redness and irritation |
| Days 4–7 | Improved gum tone and reduced inflammation |
| Days 8–14 | Stable gingival health with proper cleaning |
A 14-day healing period is realistic for gum tissue after scaling, assuming good oral hygiene.
What Will Scale Up If Left Untreated
-
Progressive gingivitis and plaque accumulation
-
Increased risk of periodontal pockets
-
Accelerated enamel wear due to misaligned bite forces
-
Higher chance of cavities in crowded areas
-
Potential tooth mobility and gum recession over time
Post-Treatment Care Instructions
-
Brush twice daily using a soft-bristle toothbrush
-
Use interdental brushes or floss designed for crowded teeth
-
Maintain regular professional dental cleanings
-
Follow orthodontic advice if alignment treatment is initiated
Professional Comment
Tooth misalignment significantly increases the risk of gum disease due to cleaning difficulty. While scaling improves gum health, long-term stability depends on proper alignment and consistent oral hygiene.
Visit a Dental Clinic Near You
For professional scaling, orthodontic assessment, and gum evaluation, search for a nearby dental clinic using our directory:












