Severe Lower Molar Decay: Urgent Restoration and Gum Care Needed
Severe Lower Molar Decay: Urgent Restoration and Gum Care Needed
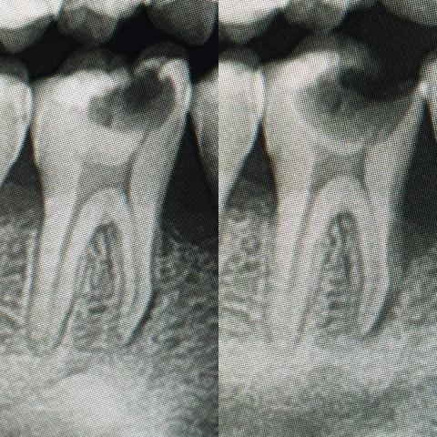
Case Type: Advanced Dental Caries and Calculus Accumulation
Full Analysis and Diagnosis
Upon examination, the posterior molars exhibit:
-
Extensive caries (tooth decay) on both left and right sides.
-
Possible pulp involvement — dark discoloration and cavity penetration indicate the decay may have reached the pulp chamber.








