Smile Again with Comfort and Confidence.
Chipped Front Teeth Case Analysis and Treatment Options
Severity:
Teeth Problems:
Dental Case Analysis: Chipped and Uneven Front Teeth
Case Overview
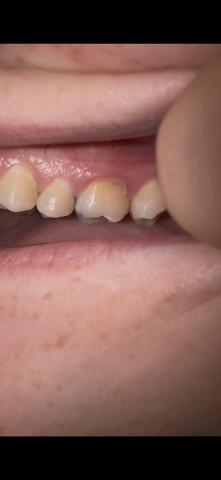
The image shows a side view of the anterior teeth with visible enamel chipping and uneven incisal edges. The teeth appear slightly misaligned with minor surface discoloration.
Zoom 100% Visual Examination
Observed Findings
-
Small to moderate enamel chips on front teeth
-
Uneven incisal (biting) edges
-
Mild yellow discoloration
-
Slight spacing irregularity
-
No visible deep cavity
-
Gum tissue appears generally healthy
-
No acute swelling observed
Diagnosis
Primary Diagnosis
-
Enamel fracture (chipped teeth)
Secondary Diagnosis
-
Mild alignment irregularity
-
Early cosmetic concern
-
Risk of progressive enamel wear
Treatment Objective
-
Restore tooth shape and symmetry
-
Prevent further enamel breakdown
-
Improve aesthetics and bite balance
-
Protect exposed enamel edges
Treatment Process to Execute
Step-by-Step Plan
-
Clinical examination and bite analysis
-
Evaluation of fracture depth
-
Treatment options:
-
Composite bonding for minor chips
-
Dental veneers for aesthetic correction
-
Orthodontic alignment if needed
-
-
Polishing and finishing
-
Bite adjustment if required
Healing and Treatment Time Frame
First 14 Days
-
Mild sensitivity after bonding (if performed)
-
Bite adaptation period
-
Gum tissue remains stable
After 14 Days
-
Normal chewing comfort
-
Cosmetic improvement stabilized
-
Low complication risk if maintained
If Treatment Is Delayed
Issues That May Scale Up
-
Increased chipping
-
Tooth sensitivity
-
Uneven bite pressure
-
Progressive enamel wear
-
Aesthetic dissatisfaction
Professional Comments
-
Condition appears moderate and manageable
-
Early cosmetic restoration prevents structural damage
-
Minor chips are easier and less expensive to correct
Recommendation
Schedule a dental consultation for cosmetic and structural evaluation.
Find a dental clinic near you:
https://cebudentalimplants.com/map-dental-clinic












