We Bring Back the Sparkle in Your Smile.
Multiple Decayed Lower Molars With Abscess Risk
Severity:
Teeth Problems:
Multiple Decayed Lower Molars With High Risk of Abscess Case Analysis
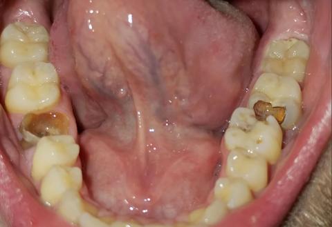
What Is Seen in This Case
The image shows the lower jaw (mandible) with multiple back molars affected by visible decay. On both the left and right sides, at least one molar shows brown cavitated lesions, indicating advanced tooth decay. The surrounding gum tissue appears slightly irritated, and the floor of the mouth is clearly visible.
This pattern suggests bilateral molar decay, which increases the overall infection risk.
Most Likely Diagnosis
Based on visual examination, the most likely conditions include:
-
Multiple decayed lower molars
-
Deep dental caries reaching dentin
-
High risk of tooth abscess formation
-
Possible early pulp infection
-
Risk of periodontal involvement around molars
Dental X-rays are necessary to determine if the tooth nerves or bone are already affected.
What Causes Multiple Molar Decay
Common causes include:
-
Long-term plaque buildup
-
Frequent sugary or acidic food intake
-
Inadequate brushing and flossing
-
Old or broken fillings
-
Delayed dental checkups
Lower molars are especially prone to decay due to deep grooves and difficulty cleaning.
Is This a Serious Problem
Yes. When multiple molars are decayed, the risk multiplies. If untreated, this condition may scale up into:
-
Tooth abscess formation
-
Severe toothache
-
Jawbone infection
-
Multiple tooth loss
-
Difficulty chewing
-
Spread of infection to nearby tissues
Early intervention can prevent major dental damage.
Recommended Treatment Process
Initial Assessment (Days 1–3)
-
Full dental examination
-
Bitewing or panoramic X-rays
-
Evaluation of decay depth and nerve involvement
Active Treatment Phase (Days 4–10)
Treatment may include:
-
Dental fillings for restorable teeth
-
Root canal treatment for infected teeth
-
Tooth extraction if damage is severe
-
Deep cleaning around affected molars
-
Antibiotics if infection is present
Healing and Follow-Up Phase (Days 11–14)
-
Pain and sensitivity reduce
-
Gum tissues begin to stabilize
-
Planning for long-term restoration
Expected Healing Time
-
After fillings: 1–3 days
-
After root canal: 5–10 days
-
After extraction: 7–14 days
Healing depends on how many teeth are treated.
What Happens If Treatment Is Delayed
Delaying care may lead to:
-
Multiple abscesses
-
Bone loss in the lower jaw
-
Emergency dental visits
-
Higher treatment costs
-
Permanent tooth loss
This is a progressive condition that will not improve on its own.
Home Care While Waiting for Treatment
These steps may help reduce discomfort:
-
Brush gently twice daily
-
Floss carefully between molars
-
Rinse with warm salt water
-
Avoid sugary and sticky foods
-
Avoid chewing on painful areas
Home care does not stop decay progression.
Professional Comment
This case shows multiple lower molars with advanced decay, placing the patient at high risk for abscess and tooth loss. Early dental treatment can often save affected teeth and prevent jawbone infection.
Visit a Dental Clinic Near You
For professional evaluation and treatment, visit:
https://cebudentalimplants.com/map-dental-clinic












