From Pain to Perfect — We Care for Your Smile.
Complex Impaction Case With Autotransplantation & Orthodontic Rehabilitation - Full Analysis
Severity:
FULL ANALYSIS & DIAGNOSIS
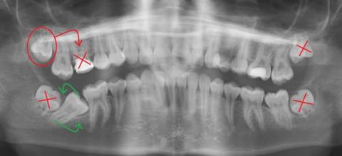
Impacted Wisdom Teeth (18, 28, 38, 48)
All four third molars show full impaction.
-
18 (upper left) – Vertically impacted, pushing against tooth 17.
-
28 (upper left) – Fully impacted; removal recommended.
-
38 (lower left) – Horizontally impacted, pushing forward into 37.
-
48 (lower right) – Also horizontally impacted.
Risks if not removed:
-
Pericoronitis, cyst formation, root resorption of adjacent teeth, bone defects.
Tooth 47 – Impacted Premolar/Molar
Tooth 47 is impacted and not in its proper occlusal position.
-
It’s tilted and trapped under the distal root of 46.
-
Requires surgical exposure + reposition (transalveolar transplantation).
Tooth 16 – Large Restoration With Poor Prognosis
The large filling compromises tooth strength:
-
Possible fracture risk
-
Possible future infection
-
Poor long-term stability
Decision: Extract 16 and replace it using transplanted tooth 18 — a rare but effective alternative when executed by a skilled oral surgeon.
TREATMENT PLAN (as provided by dentist)
✔ Extract the following teeth:
-
16 (due to poor prognosis)
-
28, 38, 48 (due to impaction risk & orthodontic necessity)
✔ Transalveolar Transplantation
-
Tooth 18 → Position of tooth 16
-
18 is a better candidate to replace the non-viable 16.
-
-
Tooth 47 → Moved to its natural location
-
Prevents crowding
-
Allows proper orthodontic alignment
-
Autotransplantation success rate is 80–92% if proper technique + healing is followed.
HEALING TIME FRAME
First 14 Days (Critical Stage)
-
Primary soft tissue healing
-
Stabilization of the transplanted tooth
-
Avoid chewing on the area
-
Risk during this period:
-
Infection
-
Mobility of transplanted tooth
-
Graft failure if trauma occurs
-
1–3 Months
-
Early periodontal ligament reattachment
-
Bone formation around transplanted tooth
-
Light occlusion allowed
6–9 Months
-
Radiographic confirmation of full stabilization
-
Orthodontic treatment begins (as your dentist planned: ~9 months)
1–2 Years
-
Full bone maturation
-
Final orthodontic correction
What Problems Can “Scale Up” if Not Managed Properly
If the 14-day critical period is disturbed:
-
Root resorption of transplanted tooth
-
Ankylosis (tooth becomes fused to bone)
-
Pulp necrosis
-
Graft failure
-
Infection leading to extraction
-
Delayed orthodontic movement
Proper follow-ups are essential.
COMMENTS / PROFESSIONAL NOTES
-
This is a high-complexity case, but well-planned.
-
Decision to use autotransplantation preserves natural tooth structure vs. implants.
-
Orthodontics will correct alignment once healing is stable.
-
Good prognosis if patient strictly follows post-op care.
VISIT NEAREST DENTAL LOCATION (Cebu)
Find the closest clinic using the directory:
https://cebudentalimplants.com/map-dental-clinic












