Dentures That Feel Natural, Look Beautiful.
Why Crooked Teeth Lead to Cavities and Tooth Loss: A Dentist's Explanation
Language :

Topics:
More Than Just DNA: Untangling the Truth About Crooked Teeth
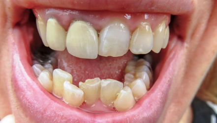
Meet Tony. From his grandfather’s smile to his father’s, and now to his own, one family trait seems to have been passed down through the generations: noticeably crooked teeth. For Tony, it was easy to blame his DNA and accept that this was just his lot in life. He believed his smile was written in his genes, and there was little he could do about it.
But recently, Tony’s situation became more serious. Two of his already crowded teeth developed deep, dark cavities. Because the teeth were misaligned and difficult to clean, the decay went unnoticed until it was too advanced to be saved. The dentist had no choice but to extract them. Now, Tony is left not only with the genetic inheritance of crooked teeth but also with gaps that are affecting his ability to chew and his confidence.
Tony’s story highlights a critical truth: while genetics can set the stage for crooked teeth, the consequences of neglecting them are entirely preventable.
The Genetic Blueprint: Why Are My Teeth Crooked?
It’s true—genetics often play the leading role in the alignment of our teeth. As outlined by Healthline, common genetic factors include:
-
Jaw Size (Malocclusion): A common issue is a mismatch between the size of the jaw and the size of the teeth. You can inherit a small jaw from one parent and large teeth from the other, leading to overcrowding.
-
Misaligned Jaws: An overbite, underbite, or crossbite is often a hereditary skeletal issue.
-
Genetic Conditions: Certain syndromes affecting the development of the mouth and jaw can also be passed down.
So, Tony was right to a degree. His family’s genetic blueprint did predispose him to a crowded smile. However, genetics alone didn't cause the cavities that led to his tooth loss.
The Real Danger: Why Crooked Teeth Are High-Risk
This is the part of the story Tony didn't fully understand. Crooked teeth aren't just a cosmetic concern; they are a significant oral health risk. His recent extractions are a direct result of this.
Crooked teeth create a challenging environment for your oral hygiene:
-
Hard-to-Clean Zones: Crowding and overlapping teeth create tight, hidden spaces that are nearly impossible to clean effectively with a regular toothbrush and floss.
-
Plaque and Tartar Buildup: In these hidden zones, plaque—a sticky film of bacteria—builds up undisturbed. It eventually hardens into tartar, which can only be removed by a dentist.
-
Accelerated Decay and Gum Disease: The trapped plaque bacteria produce acids that attack enamel, leading to cavities in hard-to-reach places (just like Tony’s). It also irritates the gums, leading to gingivitis and, eventually, periodontitis.
For Tony, the dark cavities formed in the nooks and crannies between his crowded teeth, thriving in the areas his brush couldn't reach.
The Vicious Cycle: How Tooth Loss Makes Crooding Worse
The extraction of Tony's two teeth has created a new problem. Nature abhors a vacuum, and the same is true in your mouth. The adjacent teeth will now slowly but surely start to shift and tilt into the empty space.
This can lead to:
-
Worsening of the existing crookedness.
-
New bite problems.
-
Difficulty chewing.
-
Increased risk of decay in the newly misaligned teeth.
-
Bone loss in the jaw where the teeth were removed.
What started as a genetic predisposition has now evolved into a more complex dental issue due to neglect.
Your Path to a Healthier Smile: Advice and Solutions
If Tony’s story resonates with you, it’s not too late to change the narrative. Here is the essential advice:
-
Comprehensive Orthodontic Consultation: The first step is to see an orthodontist or dentist. They can assess whether your crooked teeth are a cosmetic issue or, more importantly, a functional health risk. Modern solutions are more accessible than ever, including:
-
Traditional Braces
-
Clear Aligners (like Invisalign)
-
Lingual Braces (placed behind the teeth)
-
-
Prioritize Meticulous Oral Hygiene: If you have crooked teeth and aren't ready for orthodontics, your hygiene routine must be impeccable. Essential tools include:
-
Electric Toothbrush: Can be more effective at cleaning complex surfaces.
-
Interdental Brushes: Clean between tight spaces.
-
Water Flosser: Blasts away debris from between teeth and under gums.
-
Regular Professional Cleanings: Visit your dentist more frequently, every 4-6 months, for a deep clean.
-
-
Replace Missing Teeth: For Tony, replacing the extracted teeth is crucial to prevent further dental collapse. Options include:
-
Dental Implants
-
Fixed Bridges
-
Partial Dentures
-
Your genetic code might have given you a challenging starting point, but it doesn't have to dictate your dental destiny. By taking proactive steps, you can break the cycle of decay and loss, and achieve a smile that is not only straighter but also healthier and stronger for a lifetime.
Don't let your family history become your dental future. Schedule a consultation with your dentist or orthodontist to explore your options today.











