Why Crooked Teeth Lead to Cavities and Tooth Loss: A Dentist's Explanation

More Than Just DNA: Untangling the Truth About Crooked Teeth
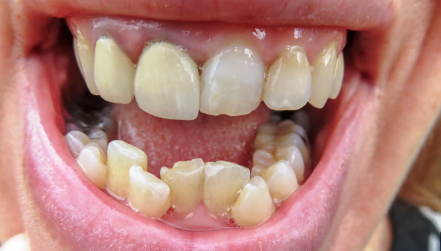
Meet Tony. From his grandfather’s smile to his father’s, and now to his own, one family trait seems to have been passed down through the generations: noticeably crooked teeth. For Tony, it was easy to blame his DNA and accept that this was just his lot in life. He believed his smile was written in his genes, and there was little he could do about it.











