From Pain to Perfect — We Care for Your Smile.
Early Interproximal Tooth Decay Case Analysis
Severity:
Teeth Problems:
Dental Case Analysis: Early Interproximal Tooth Decay With Enamel Breakdown
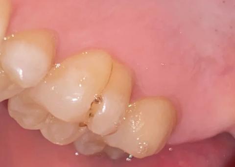
Case Overview (100% Zoom Visual Inspection)
The image shows posterior teeth (side view) with a small dark lesion located between two adjacent teeth. The enamel surface is mostly intact, but there is localized discoloration and a pinpoint cavity, consistent with early interproximal dental caries.
Full Tooth Scaling and Visual Assessment
Affected Tooth
-
Small dark spot at the contact area
-
Early enamel breakdown
-
No large cavitation visible
-
High plaque-retention zone between teeth
Adjacent Tooth
-
Enamel appears intact
-
No visible cavitation
-
Risk of secondary decay if untreated
Clinical Diagnosis (Visual-Based)
-
Primary diagnosis: Early interproximal dental caries
-
Secondary concern: Enamel demineralization
-
Condition is reversible or minimally invasive if treated early
Deep Examination Findings
-
Lesion likely limited to enamel or early dentin
-
No visible pulp involvement
-
Gum tissue appears healthy
-
No swelling or infection visible
Recommended Treatment Process
Step 1: Clinical Confirmation (Day 1)
-
Bitewing X-ray to assess lesion depth
-
Visual and tactile examination
-
Caries risk assessment
Step 2: Conservative Treatment (Day 1–3)
Treatment depends on depth:
-
Very early stage:
-
Fluoride treatment
-
Improved oral hygiene
-
Monitoring
-
-
Confirmed cavity:
-
Minimal composite filling
-
Preservation of tooth structure
-
Step 3: Post-Treatment Care (Day 3–14)
-
Daily flossing (critical)
-
Fluoride toothpaste
-
Avoid sugary snacks between meals
Expected Healing Time Frame
-
No tissue trauma in early treatment
-
Minor sensitivity may last 1–3 days
-
Full comfort and stability: within 14 days
If Treatment Is Delayed Beyond 14 Days
The following issues may scale up:
-
Progression into dentin
-
Larger cavity formation
-
Spread of decay to adjacent tooth
-
Need for larger restoration
-
Increased sensitivity and discomfort
Professional Comments
Interproximal decay often progresses silently. Early detection allows small, conservative fillings instead of major dental work. Daily flossing is essential to prevent recurrence.
Find a Nearby Dental Clinic
Visit your nearest dental clinic using our directory:
https://cebudentalimplants.com/map-dental-clinic












