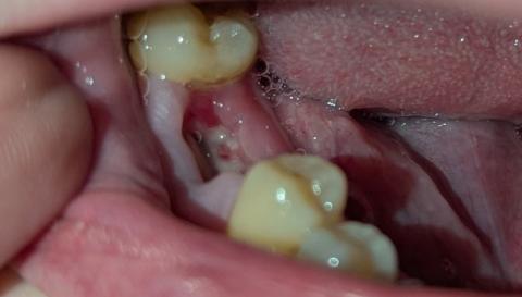
Day 12 After Tooth Extraction: Why a Tiny Bone Fragment Appears and When to Seek Help
Case Overview
A patient reported:
“Day 12 and still healing. Got a tiny bone fragment — is there any way to get it to go away?”
This is a common concern following a tooth extraction. At around 10 to 14 days post-surgery, it’s possible to feel or even see a small white or hard fragment emerging from the gum. This is often part of the healing process, but it can also signal delayed soft tissue closure or exposure of a bone spicule.





