Dentures That Feel Natural, Look Beautiful.
Severe Bone Infection Around Tooth Roots X-Ray Case
Severity:
Teeth Problems:
Severe Bone Infection Around Tooth Roots X-Ray Case Analysis
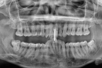
What Is Seen in This Case
The X-ray image shows severe bone loss and dark radiolucent areas around the roots of multiple teeth. The surrounding jawbone appears irregular, hollowed, and damaged, which strongly indicates advanced infection spreading through the bone.
The tooth roots are clearly visible with loss of normal bone support, a serious sign that the infection is no longer limited to the gums.
Most Likely Diagnosis
Based on X-ray findings, the most likely conditions include:
-
Advanced dental abscess
-
Chronic periapical infection
-
Jawbone infection (osteomyelitis)
-
Severe periodontal disease with bone loss
-
Failed or untreated root canal infection
This is an advanced-stage dental infection.
What Causes This Level of Bone Infection
Common causes include:
-
Long-standing untreated tooth abscess
-
Failed root canal treatment
-
Severe gum disease left untreated
-
Repeated infections in the same area
-
Delayed dental care due to pain tolerance or cost
Once bacteria reach the bone, the condition becomes harder to treat.
Is This a Serious Problem
Yes — this is critical.
If untreated, it may scale up into:
-
Progressive jawbone destruction
-
Tooth loss
-
Chronic facial pain
-
Spread of infection to sinuses or bloodstream
-
Systemic infection requiring hospitalization
Bone infections do not heal on their own.
Recommended Treatment Process
Immediate Assessment (Days 1–2)
-
Urgent dental or oral surgery consultation
-
Full dental X-ray or CBCT scan
-
Infection severity assessment
Active Treatment Phase (Days 3–10)
Treatment may include:
-
Surgical drainage of infection
-
Extraction of severely infected teeth
-
Deep bone cleaning (curettage)
-
Strong antibiotic therapy
-
Possible referral to oral surgeon
Healing and Stabilization Phase (Days 11–14+)
-
Infection control
-
Pain reduction
-
Bone healing begins slowly
-
Planning for future tooth replacement
Bone healing may take weeks to months, depending on severity.
Expected Healing Time
-
Pain and swelling reduction: 3–7 days
-
Infection control: 1–2 weeks
-
Bone regeneration: several months
Early treatment improves outcomes significantly.
What Happens If Treatment Is Delayed
Delaying care can lead to:
-
Irreversible bone loss
-
Loss of multiple teeth
-
Facial swelling and deformity
-
Spread of infection to vital organs
-
Life-threatening complications
This condition should be treated as urgent.
What Patients Should Do Immediately
-
Seek dental or hospital care urgently
-
Do not rely on painkillers alone
-
Avoid smoking or alcohol
-
Maintain gentle oral hygiene
Home remedies cannot cure bone infections.
Professional Comment
This X-ray shows a severe dental abscess with jawbone involvement, a critical condition requiring urgent professional treatment. Early intervention can stop the infection and preserve remaining bone structure.
Visit a Dental Clinic Near You
For urgent bone infection and abscess care, visit:
https://cebudentalimplants.com/map-dental-clinic












