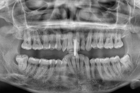
Panoramic X-Ray Showing Generalized Bone Loss Case Analysis
Panoramic X-Ray Showing Generalized Bone Loss and Infection Risk Case Analysis
What Is Seen in This Case
The panoramic X-ray shows both upper and lower jaws with multiple teeth present, but the bone levels around many tooth roots appear reduced. In several areas, the bone looks uneven and lower than normal, especially around the front teeth and molar regions. There is also evidence of previous dental treatment on at least one tooth.
















