Dentures That Feel Natural, Look Beautiful.
Red Gum Lesion Near Teeth: Causes, Treatment, and Healing Timeline
Severity:
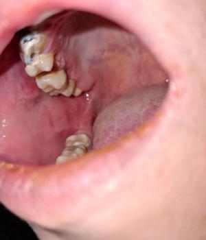
What Is Seen in This Case
The image shows a localized red area on the gum near the side teeth, highlighted in the photo. The teeth themselves appear mostly intact, but the gum tissue in this area looks inflamed and irritated. This type of lesion is often related to local trauma, irritation, or early infection.
This condition should be monitored closely, even if pain is mild.
Most Likely Diagnosis
Based on visual examination, the most likely conditions include:
-
Localized gum inflammation
-
Traumatic gum injury (from brushing, biting, or sharp tooth edges)
-
Early gum infection
-
Irritation caused by plaque or food impaction
A dental examination is needed to confirm the exact cause.
What Causes a Red Gum Lesion
Common causes include:
-
Aggressive brushing or flossing
-
Accidental biting of the cheek or gum
-
Sharp tooth edges or restorations
-
Plaque buildup near the gumline
-
Early bacterial infection
When gums are repeatedly irritated, they become red, sore, and swollen.
Is This a Serious Problem
At an early stage, this condition is usually mild and treatable. However, if left untreated, it may scale up into:
-
Persistent gum pain
-
Gum infection or abscess
-
Bleeding gums
-
Spread of infection to nearby teeth
-
Worsening inflammation and tissue damage
Early care prevents complications.
Recommended Treatment Process
Initial Care (Days 1–3)
-
Dental examination to identify the cause
-
Check for sharp tooth edges or trapped debris
-
Professional cleaning if plaque is present
Active Healing Phase (Days 4–7)
-
Warm salt water rinses as advised
-
Gentle brushing along the gumline
-
Avoid spicy, hot, or acidic foods
Re-evaluation Phase (Days 8–14)
-
Redness and swelling should reduce
-
Pain or discomfort should improve
-
If no improvement, further treatment may be needed
Expected Healing Time
-
Mild gum irritation: 5–7 days
-
Moderate inflammation: up to 14 days
Healing depends on removing the source of irritation.
What Happens If Treatment Is Delayed
If ignored for more than 14 days, the condition may worsen and lead to:
-
Chronic gum inflammation
-
Infection or abscess formation
-
Gum tissue breakdown
-
Increased treatment cost
Persistent gum lesions should never be ignored.
Home Care While Waiting for a Dentist
These steps do not replace treatment, but may help reduce irritation:
-
Rinse with warm salt water
-
Brush gently with a soft toothbrush
-
Avoid touching or picking the area
-
Avoid smoking and alcohol
Seek professional care if symptoms persist.
Professional Comment
Localized red gum lesions are often reversible when treated early. Identifying and removing the cause is essential. Any gum lesion that does not heal within two weeks should be examined by a dental professional.
Visit a Dental Clinic Near You
Find a nearby dental clinic using our directory:
https://cebudentalimplants.com/map-dental-clinic












