From Pain to Perfect — We Care for Your Smile.
Lower Teeth With Braces Case Analysis and Care Guide
Severity:
Teeth Problems:
Lower Teeth With Braces: Front View Case Analysis and Care Guide
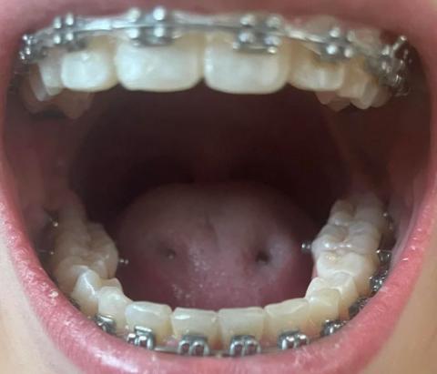
What Is Seen in This Case
The image shows upper and lower teeth with orthodontic braces, viewed from the front. Brackets and wires are present on both arches. The lower molars and premolars show areas where plaque can easily accumulate, especially around brackets and along the gumline. The tongue and surrounding tissues appear generally healthy.
This setup increases the risk of plaque buildup, enamel damage, and gum irritation if cleaning is not thorough.
Most Likely Diagnosis
Based on visual examination, the most likely findings include:
-
Orthodontic appliances on upper and lower teeth
-
Increased plaque retention around brackets and molars
-
Early risk of enamel demineralization (white spots)
-
Mild gum irritation due to appliance friction
A routine dental and orthodontic check is recommended to monitor enamel and gum health.
Why Braces Increase Dental Risk
Common reasons include:
-
Food easily trapped around brackets and wires
-
Difficulty brushing back teeth and gum margins
-
Incomplete flossing due to orthodontic hardware
-
Frequent snacking during orthodontic treatment
Without proper care, braces can lead to cavities and gum problems.
Is This a Serious Problem
At this stage, the condition is preventable and manageable. However, if oral care is poor, it may scale up into:
-
Cavities on molars and premolars
-
White spot lesions on front teeth
-
Gum inflammation or bleeding
-
Bad breath
-
Need for fillings after braces are removed
Early prevention protects results after orthodontic treatment.
Recommended Dental Care Process
Initial Assessment (Days 1–3)
-
Dental examination
-
Review of brushing and flossing technique
-
Plaque and enamel risk assessment
Active Care Phase (Days 4–7)
Treatment may include:
-
Professional dental cleaning
-
Removal of plaque around brackets
-
Fluoride application to strengthen enamel
-
Orthodontic hygiene instruction
Monitoring Phase (Days 8–14)
-
Reduced gum irritation
-
Better plaque control
-
Continued monitoring at orthodontic visits
Expected Improvement Time
-
Gum comfort improvement: 5–7 days
-
Plaque control stabilization: up to 14 days
Consistent care is needed throughout braces treatment.
What Happens If Care Is Delayed
If oral hygiene is neglected, the condition may worsen and lead to:
-
Permanent enamel damage
-
Cavities requiring fillings
-
Gum disease
-
Longer or more complex dental treatment
Prevention during braces is easier than repair later.
Home Care Tips for Patients With Braces
-
Brush after every meal using a soft toothbrush
-
Use interdental brushes around brackets
-
Floss daily with floss threaders
-
Rinse with fluoride mouthwash
-
Limit sugary and sticky foods
Professional Comment
This case shows a full orthodontic setup with healthy potential, but success depends on daily oral hygiene. Proper care during braces ensures straight teeth that are also strong and cavity-free after treatment.
Visit a Dental Clinic Near You
For orthodontic cleaning, cavity prevention, and professional care, visit:
https://cebudentalimplants.com/map-dental-clinic












