From Pain to Perfect — We Care for Your Smile.
Severely Decayed Root Stump With Advanced Infection Causing Persistent Oral Odor
Severity:
Teeth Problems:
Zoom 100% Clinical Examination – What We See
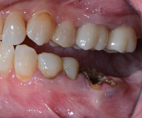
Affected area:
-
Lower posterior region (missing crown with remaining root fragment)
Key findings from the image:
-
Severely broken-down tooth reduced to a root stump
-
Dark brown to black necrotic tooth structure
-
Accumulated plaque, calculus, and food debris
-
Surrounding gum tissue appears inflamed and irritated
-
Evidence of chronic bacterial infection
-
Open space allowing constant food impaction
Critical note:
The tooth crown is no longer present. Only decayed roots remain, acting as a permanent infection reservoir.
Primary Diagnosis
Non-Restorable Root Stump With Chronic Dental Infection
Associated conditions:
-
Chronic apical periodontitis
-
Necrotic pulp remnants
-
Severe halitosis (pathologic oral odor)
-
High risk of abscess formation
Why the Mouth Smells Extremely Bad
| Cause | Explanation |
|---|---|
| Dead tooth roots | Rotting organic tissue produces sulfur gases |
| Food trapping | Open cavity traps debris continuously |
| Anaerobic bacteria | Thrive in deep, oxygen-poor decay |
| Inflamed gums | Contribute to foul-smelling discharge |
Mouthwash and brushing cannot fix this because the source is inside the bone and roots.
Time Frame to Heal (After Proper Treatment)
If Treated Immediately
-
Odor reduction: 24–48 hours
-
Pain & inflammation relief: 3–5 days
-
Complete gum healing: 7–14 days
-
Bone stabilization: 4–6 weeks
If Left Untreated
-
Infection worsens within 7–14 days
-
Bone destruction around the root
-
Formation of dental abscess
-
Possible facial swelling
-
Spread of infection to jawbone
Recommended Treatment Process
Step 1: Diagnostic Confirmation
-
Periapical X-ray
-
Bone level assessment
-
Infection depth evaluation
Step 2: Definitive Treatment
Root canal is NOT possible
-
Tooth is already structurally destroyed
Surgical Extraction (Required)
-
Removal of infected root stump
-
Curettage of infected tissue
-
Thorough irrigation and disinfection
Step 3: Tooth Replacement Options
-
Dental implant (after healing)
-
Fixed bridge
-
Partial denture
What Will Scale Up If Ignored
-
Chronic jaw infection (osteomyelitis)
-
Persistent severe bad breath
-
Gum recession and bone loss
-
Adjacent teeth infection
-
Facial cellulitis
-
Increased treatment cost later
Clinical Comments
This condition is advanced and irreversible. The tooth cannot be saved.
Delaying extraction allows bacteria to continuously poison the mouth and bone.
Immediate dental intervention is strongly advised.
Find a Dental Clinic Near You (Cebu Area)
Search verified clinics using our dental directory:
Find a Dentist Near You:
https://cebudentalimplants.com/map-dental-clinic












