The Hidden Truth: What Really Happens Inside an Untreated Cavity (Even With Good Dental Care)

Even With Good Care, Cavities Can Still Attack: The Hidden Truth
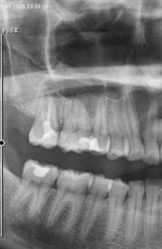
You brush, you floss, you see your dentist regularly — yet you still get cavities. If you live in an advanced country like the United States or Ireland, this can feel surprising, even unfair. Despite access to clean water, fluoridation, and modern dentistry, tooth decay remains one of the most common chronic diseases worldwide. Why? Because cavities are a complex interplay of diet, genetics, saliva, oral bacteria, and often, subtle habits we overlook.













