Dentures That Feel Natural, Look Beautiful.
Severe Tartar and Plaque Buildup on Lower Teeth | Gum Disease Case Analysis
Severity:
Teeth Problems:
Severe Plaque, Tartar Buildup, and Gum Inflammation on Lower Teeth – Full Dental Case Analysis (100% Zoom)
Medical Disclaimer
This analysis is image-based and for educational purposes only. A definitive diagnosis requires an in-person dental examination, periodontal probing, and dental X-rays. The findings below are based on visible clinical signs and accepted dental standards.
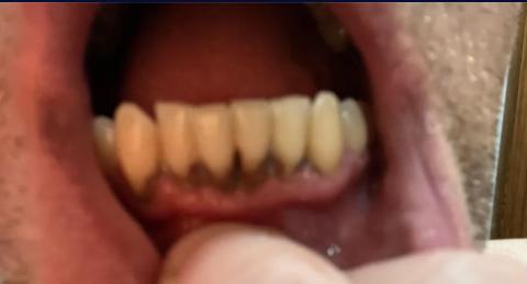
Case Overview (Zoom 100%)
The image shows the lower teeth and gum area with heavy plaque and tartar (calculus) accumulation, yellow–brown discoloration near the gum line, and visible gum inflammation. The teeth appear intact structurally, but the buildup indicates long-standing poor plaque control and possible early-to-moderate periodontal disease.
The darkened areas are consistent with tartar staining and bacterial deposits, not natural tooth color.
Primary Diagnosis
-
Severe dental plaque and calculus buildup
-
Gingivitis with high risk of progression to periodontitis
-
Early signs of gum recession risk
-
Increased risk for tooth sensitivity and root caries
Deep Clinical Examination (Image-Based Findings)
-
Thick deposits along the lower front teeth and gum margin
-
Red, inflamed gum tissue consistent with chronic irritation
-
Tooth surfaces appear worn but not fractured
-
Likely contributing factors:
-
Infrequent or ineffective brushing and flossing
-
Long intervals without professional cleaning
-
Possible dry mouth or lifestyle-related plaque buildup
-
Can This Heal in 14 Days?
Plaque- and tartar-related gum disease does not resolve without professional treatment.
However, within 14 days, proper dental care can:
-
Remove hardened tartar
-
Reduce gum inflammation
-
Stop progression toward bone loss
-
Improve gum health and breath
Recommended Treatment Process
Step 1: Comprehensive Dental Assessment (Days 1–3)
-
Periodontal probing to assess gum pocket depth
-
Dental X-rays if bone loss is suspected
-
Evaluation of oral hygiene habits
Step 2: Professional Cleaning (Days 3–7)
-
Scaling and polishing to remove plaque and tartar
-
Scaling and root planing if deposits extend below the gum line
-
Antibacterial rinse recommendation
Step 3: Maintenance and Prevention (Days 7–14)
-
Oral hygiene instruction (brushing technique and flossing)
-
Desensitizing toothpaste if sensitivity is present
-
Follow-up cleaning schedule (every 3–6 months)
Expected Healing Timeline
-
Gum redness and swelling reduction: 5–10 days
-
Bleeding reduction: 1–2 weeks
-
Long-term stability depends on daily oral hygiene and regular cleanings
What Will Escalate If Untreated
-
Progression from gingivitis to periodontitis
-
Permanent bone loss around teeth
-
Gum recession and tooth mobility
-
Eventual tooth loss
-
Increased treatment cost and complexity
Professional Comments
This condition is very common and highly treatable when addressed early. Teeth can often be preserved for decades with proper cleaning and maintenance. Delaying care allows silent damage to progress beneath the gums.
Strong Recommendation
Schedule a dental visit for professional cleaning and periodontal evaluation as soon as possible.
You can find a dental clinic near your area using this directory:
https://cebudentalimplants.com/map-dental-clinic
Early treatment prevents irreversible gum and bone damage.












