Severe Tooth Infection and Gum Abscess: Symptoms, Treatment, and 14-Day Healing Guide | Cebu Dental Implants
Case Analysis: Suspected Tooth Infection and Gum Inflammation
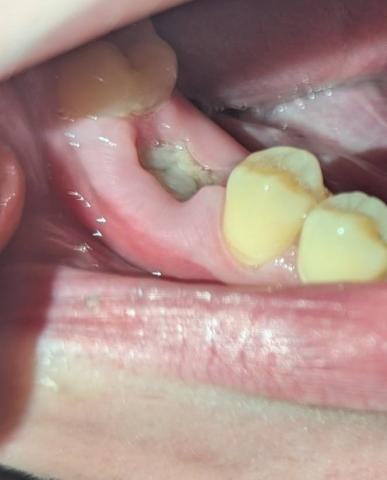
Observation
The image shows a lower molar area with visible gum irritation, tissue swelling, and darkened debris around one tooth. The surrounding gingiva appears inflamed and possibly infected. There are also signs of decay or necrotic tissue that may indicate an advanced tooth infection or abscess formation.








