The Magnetic Power of a Smile: Expert Dental Secrets & Celebrity Smile Inspiration

The Power of a Smiling Face: From Mike Greenberg’s Wife to Expert Dental Advice
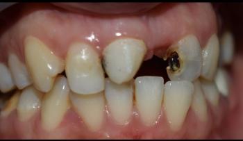
Why a Smile Matters More Than You Think
A smiling face can light up a room, boost confidence, and even turn heads—just ask Mike Greenberg’s wife, Stacy Greenberg, who recently made waves with her radiant presence. (Source: Yahoo Sports) But beyond aesthetics, a healthy smile plays a crucial role in overall well-being.
















