CBCT Scan (3D Dental Imaging): Cost, Benefits & Safety (2024 Guide)

CBCT Scan (3D Imaging): The Future of Dental Diagnosis
Ngano importante ang CBCT Scan?
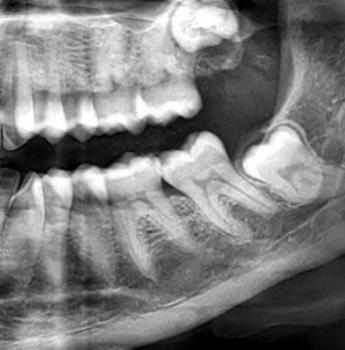
A Cone Beam Computed Tomography (CBCT) Scan is a high-tech 3D imaging system nga mas precise kaysa traditional X-rays. Makita sa dentist ang detailed structure sa imong bones, teeth, nerves, and soft tissues—perfect for:
-
Dental implants (exact bone measurement)
-
Wisdom tooth extraction (avoid nerve damage)
















