Dentures That Feel Natural, Look Beautiful.
Severe Tooth Decay and Gum Infection Case Analysis
Severity:
Teeth Problems:
Dental Case Analysis: Multiple Advanced Tooth Decay With Gum Inflammation
Case Overview (100% Zoom Visual Inspection)
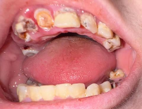
The image shows the upper and lower dental arches with multiple teeth affected by advanced decay, visible dark cavities, broken tooth structure, and inflamed gum tissue. Several teeth show severe enamel and dentin destruction, indicating a high-risk oral condition requiring urgent dental care.
Full Tooth Scaling and Visual Assessment
Upper Teeth
-
Multiple teeth with deep brown and black cavities
-
Significant loss of enamel and tooth structure
-
Exposed dentin on several teeth
-
Gum tissue appears red and swollen near decayed areas
-
Possible retained root fragments on posterior teeth
Lower Teeth
-
Moderate to severe decay on posterior teeth
-
Visible plaque and staining
-
Early gum recession suspected
-
Structural weakening of chewing surfaces
Clinical Diagnosis (Visual-Based)
-
Primary diagnosis: Severe generalized dental caries
-
Secondary conditions:
-
Chronic plaque accumulation
-
Gingival inflammation
-
Possible pulp involvement in multiple teeth
-
-
High risk of infection and tooth loss
Deep Examination Findings
-
Multiple teeth likely have pulp exposure
-
Active bacterial decay evident
-
Gum tissue shows signs of irritation
-
Risk of abscess formation is high
-
Chewing efficiency already compromised
Recommended Treatment Process
Step 1: Urgent Clinical Assessment (Day 1)
-
Full-mouth dental X-rays
-
Pulp vitality testing
-
Infection screening
-
Pain and inflammation control
Step 2: Disease Control Phase (Day 1–7)
-
Removal of non-restorable teeth
-
Temporary fillings for salvageable teeth
-
Deep cleaning and scaling
-
Antibiotics if infection is present (as prescribed)
Step 3: Definitive Treatment (Day 7–14+)
-
Root canal treatments where possible
-
Crowns or large restorations
-
Tooth replacement planning (dentures, bridges, or implants)
Expected Healing Time Frame
-
Gum inflammation reduction: 3–7 days
-
Pain relief after initial treatment: within 7 days
-
Functional improvement: 14 days, depending on procedures
-
Full oral rehabilitation may take several months
If Treatment Is Delayed Beyond 14 Days
The following issues will scale up rapidly:
-
Severe tooth pain and abscess formation
-
Spread of infection to jawbone
-
Tooth loss
-
Difficulty eating and speaking
-
Increased risk of systemic infection
-
Higher treatment cost and complexity
Professional Comments
This case shows advanced oral disease, not isolated tooth decay. Early emergency treatment can still control infection and save remaining teeth. Delaying care significantly increases health risks.
Find a Nearby Dental Clinic
For urgent care, visit your nearest dental clinic using our directory:
https://cebudentalimplants.com/map-dental-clinic












