Dentures That Feel Natural, Look Beautiful.
Severe Tartar Removal to Full Mouth Restoration - Case Study Philippines
Severity:
Teeth Problems:
A patient presented with extreme tartar buildup, gum inflammation, and discoloration. The teeth showed signs of early to advanced periodontal disease, with visible plaque deposits covering large portions of the enamel.
Treatment Performed:
-
Ultrasonic scaling and root planing
-
Deep cleaning below gumline
-
Polishing and antibacterial therapy
Result:
-
Significant improvement in gum health
-
Removal of hardened calculus
-
Brighter, cleaner teeth
Price Comparison:
-
USA: $800 – $2,000
-
Philippines: $100 – $300
Full Mouth Restoration Case Study Philippines

For patients with severely damaged or missing teeth, full mouth restoration is often required. This includes rebuilding both function and aesthetics.
Treatment Includes:
-
Tooth extraction (if necessary)
-
Dental implants or bridges
-
Zirconia crowns or full-arch prosthesis
Outcome:
-
Complete smile transformation
-
Restored chewing ability
-
Long-term structural stability
Price Comparison:
-
USA: $25,000 – $60,000
-
Philippines: $8,000 – $20,000
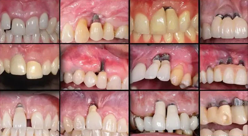
Dental Implant Smile Makeover Results

Dental implants provide a permanent solution for missing teeth, delivering both aesthetic and functional benefits.
Procedure Highlights:
-
Titanium implants placed into jawbone
-
Healing and integration phase
-
Placement of crowns or bridges
Results:
-
Natural-looking teeth
-
Improved confidence and speech
-
Long-lasting durability
Price Comparison (per implant):
-
USA: $3,000 – $6,000
-
Philippines: $800 – $1,500
Failed Dental Work Correction Case

Some patients arrive with failed crowns, bridges, or implants due to poor workmanship or infection.
Common Issues:
-
Loose or broken crowns
-
Gum infection around implants
-
Misaligned bite
Corrective Treatment:
-
Removal of failed restorations
-
Infection control and bone support
-
Replacement with high-quality prosthetics
Outcome:
-
Restored function and comfort
-
Improved aesthetics
-
Prevention of further complications
Price Comparison:
-
USA: $5,000 – $20,000 (correction cases)
-
Philippines: $2,000 – $8,000
Why Patients Choose Philippines
Patients from abroad choose the Philippines because of:
-
Up to 70% cost savings
-
International-standard dental clinics
-
Fast treatment timelines (7–14 days initial phase)
Final Insight
These cases show that even severely damaged teeth can be fully restored with the right treatment plan. From simple tartar removal to complex implant rehabilitation, outcomes can be life-changing—especially when done in cost-efficient destinations like the Philippines.












