Transforming Smiles, Restoring Confidence.
Bad Taste in Mouth After Tooth Extraction: Causes, Fixes, and When to Worry
Severity:
Teeth Problems:
A clinical guide from a U.S. dental implant & bone graft specialist practicing in Delaware
Introduction: That Unpleasant Taste After Extraction—Normal or Not?
If you’ve recently had a tooth removed and noticed a bad taste in your mouth, you’re not imagining it—and you’re not alone. In my Delaware practice, this is one of the most common follow-up concerns:
“Doctor, everything looks okay… but why does it taste so bad?”
Here’s the truth from a clinical standpoint:
A mild unpleasant taste can be completely normal—but a strong or persistent bad taste can signal a problem.
The key is knowing the difference.
This guide explains:
- Normal vs abnormal causes
- What your body is doing during healing
- When to take action
- How to fix the issue quickly
Why Do You Get a Bad Taste After Tooth Extraction?
After extraction, your body begins healing immediately. During this process, several factors can contribute to taste changes.
Common (Normal) Causes
- Blood and clot formation
- Healing tissue (fibrin layer)
- Food debris in the socket
- Reduced saliva flow
These are temporary and usually resolve within a few days.
The Role of the Blood Clot in Taste
The blood clot is the foundation of healing.
As it breaks down and transitions into new tissue, it can produce a slightly metallic or unpleasant taste.
This is normal—unless the clot is lost.
If the clot fails, it can lead to Dry Socket, which causes a much stronger and more persistent bad taste.
Normal Bad Taste vs Problematic Taste
| Feature | Normal Healing | Possible Problem |
|---|---|---|
| Taste intensity | Mild | Strong/foul |
| Duration | Few days | Persistent |
| Pain | Minimal | Moderate to severe |
| Smell | Slight | Noticeable odor |
| Other symptoms | None | Swelling, fever |
Main Causes of Bad Taste After Extraction
Let’s break down the real clinical causes.
1. Healing Tissue (Fibrin Layer)
As your body heals:
- A white/yellow layer forms
- This can produce a mild taste
This is completely normal and part of recovery.
2. Food Trapped in the Socket
Food particles can get stuck in the extraction site, leading to:
- Bad taste
- Mild odor
- Irritation
This is common if rinsing is not done properly.
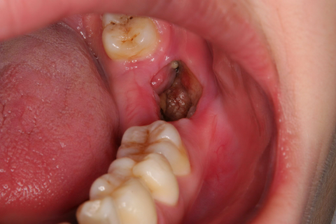
3. Dry Socket
One of the most common complications.
Symptoms:
- Severe pain (2–5 days after extraction)
- Strong bad taste
- Bad breath
- Visible bone
This requires professional treatment.
4. Infection
A bacterial infection can cause:
- Persistent foul taste
- Swelling
- Pus discharge
- Fever
This is more serious and requires antibiotics.
5. Poor Oral Hygiene
Not cleaning your mouth properly can lead to:
- Bacterial buildup
- Lingering taste
- Slower healing
6. Medications
Some medications prescribed after extraction may cause:
- Metallic taste
- Dry mouth
- Altered taste perception
Timeline: How Long Does Bad Taste Last?
Normal Timeline
- Day 1–3: Mild taste (blood + healing)
- Day 4–7: Gradual improvement
- Week 2: Taste mostly gone
When It’s Not Normal
- Taste worsens after day 3
- Strong odor develops
- Pain increases
These may indicate complications.
How to Get Rid of Bad Taste After Extraction
1. Saltwater Rinse (After 24 Hours)
- Helps clean the area
- Reduces bacteria
- Promotes healing
2. Gentle Oral Hygiene
- Brush teeth carefully
- Avoid direct contact with socket
3. Stay Hydrated
- Supports saliva production
- Reduces bacterial buildup
4. Avoid Smoking
Smoking:
- Delays healing
- Increases infection risk
- Worsens taste
5. Use Prescribed Mouthwash (If Given)
Antibacterial rinses help control bacteria.
What NOT to Do
- Do not rinse aggressively in the first 24 hours
- Do not poke the socket
- Do not use straws
- Do not ignore worsening symptoms
Diet and Its Role in Taste
Recommended Foods
- Soft foods
- Mild flavors
- Hydrating options
Avoid
- Spicy foods
- Sugary snacks
- Sticky foods
These can worsen taste and irritate the area.
Real Case Insight (Delaware Practice)
A patient reported a bad taste 3 days after extraction.
Symptoms:
- Mild taste
- No swelling
- No pain
Diagnosis: Normal healing
Outcome: Resolved within a week.
Another patient:
Symptoms:
- Strong foul taste
- Severe pain
- Bad breath
Diagnosis: Dry socket
Outcome: Required treatment and follow-up care.
When to Call Your Dentist
Contact your dentist if you experience:
- Persistent bad taste beyond 5–7 days
- Severe pain
- Swelling
- Fever
- Pus discharge
Early treatment prevents complications.
Impact on Future Dental Implants
From a bone graft perspective, complications like dry socket or infection can:
- Delay implant placement
- Cause bone loss
- Increase treatment complexity
Healthy healing ensures better long-term outcomes.
Medical Perspective: What’s Happening Inside
Even when you notice a bad taste, your body is working through:
- Tissue regeneration
- Bacterial balance
- Bone remodeling
Taste changes are often part of this biological process.
FAQ: Bad Taste After Tooth Extraction
Is bad taste normal after extraction?
Yes, mild taste is normal during healing.
How long should it last?
Usually a few days to a week.
When should I worry?
If it becomes strong, persistent, or is accompanied by pain or swelling.
Can dry socket cause bad taste?
Yes, it is one of the main symptoms.
How can I reduce bad taste quickly?
Saltwater rinses and proper hygiene help.
Does infection always cause bad taste?
Often, but it is usually accompanied by other symptoms.
Can food cause bad taste?
Yes, trapped food is a common cause.
Related Topics You Should Explore
1. Signs of Dry Socket vs Infection
Learn how to distinguish between common complications.
2. Blood Clot After Tooth Extraction Explained
Understand the foundation of healing.
3. Tooth Extraction Healing Timeline
Know what to expect at each stage.
Final Thoughts from a Delaware Expert
A bad taste after tooth extraction can be unsettling—but in many cases, it’s part of normal healing.
From my experience in Delaware, the difference comes down to intensity, duration, and associated symptoms.
If there’s one key takeaway:
Mild taste is normal. Strong, persistent taste is a warning sign.
When in doubt, don’t wait—get it checked. Early care always leads to better outcomes.
Can tooth extraction cause infection? Mild inflammation is normal, but increasing swelling, fever, or severe pain may indicate infection. Learn more about post-extraction infection warning signs in this detailed guide.
Book a consultation with our Cebu dental specialists for proper evaluation and care.
Ready to get expert guidance?
If you’re experiencing severe pain or delayed healing, book a consultation with our Cebu dental specialists to get proper evaluation and care.
Consultation or contact page .
Book a Consultation
For severe discomfort or delayed healing, book a consultation with our Cebu dental specialists today.
Looking for a dentist? Browse our Cebu dental directory to find trusted clinics near you.
Medical Review and Clinical Basis
This article is based on clinical dental guidelines and real patient recovery patterns observed after tooth extraction procedures. The information reflects common post-extraction healing stages, including normal clot formation, gum tissue repair, and signs of possible complications such as dry socket or infection.
While mild discomfort is expected after a dental extraction, worsening pain after Day 3, bad odor, exposed bone, or spreading pain may require professional evaluation. These symptoms are consistent with known post-extraction complications described in standard dental practice.
About Cebu Dental Implants
Cebu Dental Implants provides comprehensive tooth extraction, surgical procedures, and dental implant services in the Philippines. Our team evaluates post-extraction healing, manages complications such as dry socket, and advises patients on proper aftercare to prevent infection and delayed healing.
If you experience severe pain or unusual symptoms after extraction, early professional assessment is recommended to prevent further complications.
Important Medical Disclaimer
This content is for educational purposes only and does not replace professional dental diagnosis. Every patient heals differently. If symptoms worsen or do not improve within a few days, consult a licensed dentist for proper evaluation and treatment.
Author
This article was prepared by the Cebu Dental Implants content team in consultation with licensed dental professionals experienced in tooth extraction and implant procedures.












