Your Smile, Perfected with Precision.
The Call Center Agent's Secret Health Crisis: How Sleep Loss is Destroying Brains and Teeth in the Philippines
Language :

The Night Shift's Cost: How Sleep Deprivation is Literally Eating Away at the Brains and Smiles of Filipinos
A Story of Chaddy
Chaddy was the pride of his family. As a call center agent in Manila, he earned more than anyone in his province ever had. His salary put his younger siblings through school, repaired his parents' home, and gave him a taste of a modern life. By day, he was a provider, a hero. But by night, he was a prisoner of the clock, fighting a silent war against his own biology.
To stay awake during long, grueling night shifts, he lived on sugary coffee and energy drinks. The constant sugar baths, combined with the dry mouth from stress and dehydration, created the perfect storm for cavities. But that was just the beginning. The real damage was happening where no one could see it.
His sleep was fractured, stolen in fitful bursts between the city's daytime noise. He was constantly exhausted, his thoughts often foggy. He started forgetting small things—a customer's name, a promise to call home. He blamed the stress.
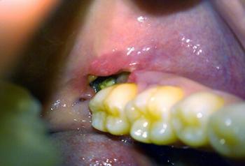
Then, the pain started. First one tooth, then another. Dental visits were a luxury he couldn't afford time or money for. One by one, they succumbed. In the span of two years, Chaddy lost six teeth. His smile, once bright with ambition, now bore the marks of his sacrifice. He was only 28.
The Shocking Truth: "The Brain Begins to Eat Itself"
Chaddy’s story is not just about cavities. It's about a deeper, more frightening consequence of sleep deprivation. Scientists have discovered that when the brain is starved of sleep, it begins a process of self-destruction.
Here’s what happens inside a sleep-deprived brain:
-
Cellular Cannibalism: In a state of chronic sleep loss, the brain's support cells (astrocytes) go into overdrive and start "eating" healthy, functional connections between neurons. This process, called autophagy, is meant for cleanup, but without sleep, it becomes destructive.
-
A Brain Clogged with Toxins: Deep sleep is when your brain power-washes itself, flushing out toxins that build up during the day. Without this crucial reset, this mental waste builds up, "like static in a signal," leading to brain fog, poor memory, and lack of focus—symptoms every sleep-deprived worker knows too well.
The Vicious Cycle: Sleep, Stress, and a Mouthful of Problems
For call center agents like Chaddy, this creates a perfect storm for dental disaster:
-
Sleep Deprivation weakens the entire body's immune system.
-
A Weakened Immune System makes it harder to fight off the bacteria that cause gum disease (periodontitis) and accelerates tooth decay.
-
Poor Lifestyle Choices (sugary drinks, irregular eating) during shifts directly attack the teeth.
-
The Chronic Inflammation from severe gum disease then feeds back into the body, potentially worsening the inflammatory damage in the brain.
It’s a vicious, self-feeding cycle: you lose sleep to earn a living, which destroys your health, which compromises your ability to think and earn that living.
Your Health is Your Greatest Asset: A Call to Action
Chaddy’s story is a warning. Your health is your most valuable commodity—it is the foundation of your income, your happiness, and your future. Protecting it is not a luxury; it is a necessity.
Here is Your Survival Guide:
-
Treat Sleep as a Non-Negotiable Appointment: You wouldn't skip a paid shift; treat your sleep with the same respect. Create a dark, quiet, and cool environment for daytime sleep. Use white noise machines and blackout curtains.
-
Declare War on Sugar: Swap energy drinks for water. Replace sugary snacks with nuts, fruits, or sandwiches. Your teeth and your brain will thank you.
-
Supercharge Your Oral Hygiene: When your immune system is compromised, your dental routine needs to be impeccable. Brush rigorously twice a day and floss every single day without fail.
-
Schedule a Dental Check-up NOW: Do not wait for pain. A dentist can spot early signs of gum disease and decay, preventing the kind of extensive damage Chaddy suffered. Think of it as a critical investment in your ability to keep working and providing.
A Final Word:
Every hour you steal from sleep is borrowed from the future health of your own mind. Every soda you drink to stay awake is a loan against the health of your smile.
You work hard to build a better future. Make sure you are healthy enough to enjoy it. Don’t let your success cost you your smile and your mind.











