From Pain to Perfect — We Care for Your Smile.
Lower Teeth with Amalgam Fillings Case Analysis
Severity:
Teeth Problems:
Dental Case Analysis: Lower Teeth with Metallic Fillings and Plaque Accumulation
Case Overview
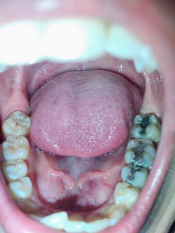
The image shows the lower dental arch with visible metallic (amalgam) restorations on posterior molars. There are signs of plaque accumulation and dark staining within the grooves of treated teeth.
Zoom 100% Visual Examination
Observed Findings
-
Multiple amalgam (silver) fillings on lower molars
-
Dark discoloration around restoration margins
-
Plaque accumulation along occlusal grooves
-
Mild staining on adjacent teeth
-
Gum tissue appears generally stable
-
No obvious acute swelling visible
-
Tongue positioned normally
Diagnosis
Primary Diagnosis
-
Restored molars with marginal staining
-
Possible plaque-induced discoloration
Secondary Diagnosis
-
Risk of secondary caries around old fillings
-
Early biofilm accumulation
Treatment Objective
-
Assess integrity of existing fillings
-
Remove plaque and tartar buildup
-
Prevent secondary decay
-
Maintain long-term tooth stability
Treatment Process to Execute
Step-by-Step Plan
-
Clinical examination and bite check
-
Dental X-ray to assess filling margins
-
Professional oral prophylaxis (cleaning)
-
Polish restoration margins
-
Replace fillings if leakage or decay is detected
-
Oral hygiene reinforcement
Healing and Treatment Time Frame
First 14 Days
-
Improved gum comfort after cleaning
-
Reduced plaque accumulation
-
Sensitivity may temporarily occur after polishing
After 14 Days
-
Gum tissue stabilizes
-
Oral environment becomes healthier
-
Reduced risk of secondary decay
If Treatment Is Delayed
Issues That May Scale Up
-
Secondary decay under old fillings
-
Filling breakdown or fracture
-
Gum inflammation
-
Development of deep cavities
-
Need for root canal treatment
Professional Comments
-
Existing restorations appear functional but require monitoring
-
Marginal staining does not always mean decay, but needs evaluation
-
Regular dental visits are essential
-
Early detection prevents costly procedures
Recommendation
Schedule a dental evaluation and professional cleaning.
Find a dental clinic near you:
https://cebudentalimplants.com/map-dental-clinic












