From Pain to Perfect — We Care for Your Smile.
Sydney Socioeconomic Dental Crisis: The Painful Price of Neglect
Severity:
Teeth Problems:
The Painful Price of Neglect: Dry Socket's Devastating Cycle in Sydney's Low-Income Community
For many people in Sydney, a tooth extraction is a stressful but manageable event. However, for those struggling on a low income, what should be a routine procedure can spiral into a prolonged, debilitating, and financially devastating medical crisis. The villain in this story is a painful complication called dry socket (alveolar osteitis), a condition that is both intensely painful and, with proper knowledge, often preventable.
This blog explores how the symptoms of dry socket, when ignored due to fear of cost, trap low-income residents of Sydney in a vicious cycle of worsening health and deepening debt.
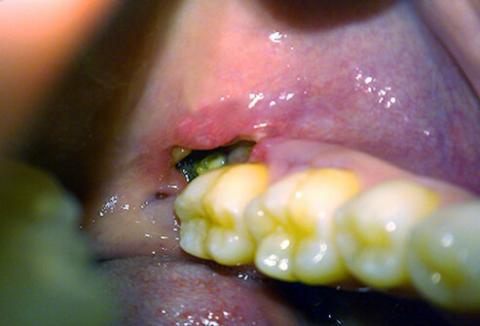
What is a Dry Socket?
After a tooth is pulled, a protective blood clot forms in the empty socket. This clot is a biological bandage, shielding the underlying bone and nerve endings and providing a framework for new tissue to grow. A dry socket occurs when this crucial clot dislodges or dissolves too early, leaving the sensitive bone and nerves painfully exposed.
This is not just minor discomfort. Patients describe it as a severe, throbbing pain that can radiate from the jaw to the ear, temple, or neck on the same side of the face. Other tell-tale signs include an empty-looking socket, visible bone, and a persistent bad taste or foul breath. The pain typically begins a few days after the extraction and will not resolve on its own.
Why Low-Income Sydneysiders Are at Higher Risk
While anyone can develop a dry socket, the risk is significantly higher for certain groups. Key risk factors that disproportionately affect low-income communities include smoking, poor oral hygiene, difficult extractions, and an inability to follow aftercare instructions, such as getting proper rest.
The Sydney-Specific Crisis: A System That Punishes Delay
The true tragedy unfolds because of Australia's two-tiered dental system. Dental care sits largely outside Medicare, meaning patients bear a much higher share of the cost than for other medical services. For low-income individuals without private health insurance, this creates an impossible choice: pay a large upfront fee or endure the pain.
Here’s the devastating cycle:
-
Fear of Initial Cost: A person delays seeing a dentist for tooth pain.
-
Emergency Extraction: The problem worsens, forcing a more expensive and complex emergency extraction.
-
Development of Dry Socket: Due to risk factors or inability to rest, a dry socket develops.
-
Avoiding Further Treatment: Terrified of another bill, the person tries to "wait out" the excruciating dry socket pain.
-
Escalation to Hospital: The unmanaged pain or a resulting infection becomes unbearable, leading to a visit to a public hospital emergency department.
This final step is the costliest for everyone. While hospital emergency care is free, it is an incredibly expensive way to treat a preventable dental condition, and it only addresses the immediate crisis, not ongoing oral health.
Real-World Consequences: More Than Just a Toothache
Neglecting a dry socket has serious implications:
-
Prolonged Suffering: The pain can be so severe it disrupts sleep, work, and daily life for days or longer without treatment.
-
Risk of Infection: The exposed bone is vulnerable to infection, which can spread.
-
Financial Ruin: The cost snowballs. What starts as a few hundred dollars for an extraction can become thousands in lost wages, emergency dental clinic fees, and associated costs.
A Path Forward: Breaking the Cycle
If you or someone you know is facing a tooth extraction in Sydney, especially under financial strain, these steps are crucial:
-
Know the Symptoms: Severe pain starting a few days after an extraction, an empty socket, and bad breath are red flags. Do not ignore them.
-
**Seek Affordable Care Proactively: Look for community health centres, dental schools, or clinics that offer sliding-scale fees. Some eligibility exists for public dental services.
-
Prioritise Prevention (It's Cheaper): Follow aftercare instructions meticulously: avoid straws and smoking, eat soft foods, and rinse gently with warm salt water after a day. Preventing a dry socket is far cheaper than treating one.
-
Act Immediately if Pain Strikes: If you suspect a dry socket, contact the dentist who performed the extraction or an emergency dental service immediately. Prompt treatment—which involves cleaning the socket and applying a medicated dressing—provides rapid pain relief and prevents worse complications.
Ignoring dental pain is a false economy. In Sydney's expensive landscape, investing in timely, preventive care is not just a health decision—it's the most sound financial decision a person on a low income can make for their long-term wellbeing.












