Dentures That Feel Natural, Look Beautiful.
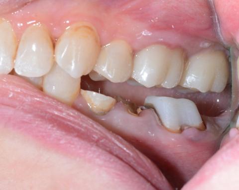
Painful Tooth Misalignment With Fractured Lower Tooth and Secondary Infection Risk
Severity:
Teeth Problems:
Zoom 100% Clinical Examination – Deep Findings
Overall Alignment
-
Visible malocclusion (misalignment) between upper and lower teeth
-
Improper bite contact causing uneven force distribution
-
Signs of traumatic occlusion
Lower Teeth Findings
-
Fractured lower tooth (partial crown loss)
-
Exposed dentin with plaque accumulation
-
Brownish discoloration near fracture margins
-
Early decay at the broken edge
-
Gum irritation around damaged tooth
Upper Teeth Findings
-
Mild crowding
-
Uneven enamel wear patterns
-
Occlusal surfaces showing early stress wear
Primary Diagnosis
Malocclusion With Traumatic Bite
Complicated by:
-
Fractured lower tooth
-
Early secondary dental caries
-
Occlusal trauma
-
Inflammatory gum response
Why the Teeth Are Painful
| Cause | Explanation |
|---|---|
| Misalignment | Teeth hitting incorrectly during chewing |
| Fracture | Exposed dentin causing sensitivity |
| Occlusal trauma | Excess pressure on select teeth |
| Food impaction | Leads to irritation and bacterial growth |
Time Frame to Heal (With Proper Treatment)
Initial Pain Relief
-
24–72 hours after stabilization
Short-Term Treatment (7–14 days)
-
Fractured tooth protection
-
Infection control
-
Bite adjustment
Long-Term Correction
-
Orthodontic correction: months
-
Final restorations: 2–4 weeks after alignment
Recommended Treatment Process
Step 1: Diagnostic Phase
-
Full-mouth X-rays
-
Bite analysis
-
Occlusal evaluation
Step 2: Immediate Stabilization
-
Smooth or restore fractured tooth
-
Temporary filling or crown
-
Pain and inflammation control
Step 3: Definitive Treatment
Bite Correction
-
Orthodontic treatment (braces or aligners)
-
Occlusal adjustment
Tooth Restoration
-
Composite build-up or crown
-
Root canal if pulp becomes involved
What Will Scale Up If Untreated
-
Progressive tooth fracture
-
Chronic jaw pain (TMJ disorders)
-
Tooth nerve damage
-
Increased decay risk
-
Gum disease progression
-
Tooth loss
Clinical Comments
The pain is bite-related and structural, not just surface decay.
Ignoring misalignment will cause repeated tooth damage and worsening pain.
Early intervention prevents extensive orthodontic and restorative procedures later.
Find a Dental Clinic Near You (Cebu Area)
Use our verified dental directory to locate a clinic near you:
Search Dental Clinics:
https://cebudentalimplants.com/map-dental-clinic












