From Pain to Perfect — We Care for Your Smile.
How to Fix an Infected Dental Implant Manila: Signs, Causes & Treatment
Severity:
Teeth Problems:
A Smile Sold, A Jawbone Stolen: The Hidden Infection Crisis in Manila's Dental Clinics
Manila is a city of dreams and relentless energy. But beneath the dazzling smiles promised by flashy dental clinic advertisements, a quieter, more painful story is unfolding. It’s a story of dental infections, misplaced trust, and the severe consequences of dental abuse. This is the story of Aling Rosa, a story that is, tragically, not unique.
The Promise of a New Smile
Aling Rosa, a 58-year-old sari-sari store owner from Quezon City, had saved for years. Her dream was simple: to replace her missing lower teeth with dental implants, to eat comfortably again, and to have a smile that made her feel proud instead of self-conscious.
She was drawn in by a clinic in a busy Manila mall. The advertisement promised "World-Class Implants at a Budget Price." The dentist was charming and confident. He assured her she was a perfect candidate. When Aling Rosa hesitantly asked about bone density, he brushed it off. "No problem, 'Nay," he said. "We have the best techniques."
What he didn't say was that Aling Rosa's jawbone, weakened by years of being without teeth, was simply not qualified to support an implant. The necessary bone graft that should have been the first step was skipped entirely. The foundation for her new smile was built on sand.
The Slow Creep of Infection
For a few months, all seemed well. But then, a dull, throbbing pain began. Her gums became red, swollen, and started to pull away from the implant post. A foul taste lingered in her mouth. She returned to the clinic, only to be given antibiotics and told it was a "minor adjustment."
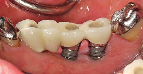
The infection, however, was anything but minor. It was a relentless enemy, a condition known as peri-implantitis. As the team at Mission Implant Center expertly explains, this is an inflammatory process that affects the soft and hard tissues around a dental implant. Unlike the gum around a natural tooth, the tissue around an implant is more susceptible to inflammation and has a poorer blood supply, allowing the infection to burrow deep.
In Aling Rosa's case, the infection was eating away at what little jawbone she had left. The implant, placed without adequate bone, was a ticking time bomb. The bone marrow, the very core of her jaw's strength, was now under siege.
The Second Opinion That Saved Her Jaw
It was Aling Rosa's daughter, Maria, who insisted on a second opinion. She had been skeptical from the start and had spent nights reading online, eventually finding resources like the detailed guide on Implant Infection Complications, which opened her eyes to the reality of her mother's condition.
They visited a reputable prosthodontist in Makati. The 3D scan revealed the devastating truth: severe bone loss around the failing implant. The infection was so advanced that the new implant had to be removed immediately, the area meticulously cleaned of infected tissue, and a complex bone graft procedure performed—all to salvage what was left of her jawbone before even thinking about a new tooth.
The cost of the repair was more than double the original "bargain" implant.
The Lesson: Your Shield is Research
Aling Rosa's story is a stark warning. Dental abuse, driven by profit over patient care, is a real danger. Here’s how you can protect yourself:
-
Bone Quality is Non-Negotiable: A qualified dentist will always perform a 3D CBCT scan to assess bone volume and density. If they don't, see it as a major red flag. Implants require a solid foundation, and "qualified bone marrow" and structure are absolute prerequisites.
-
Reviews are Your Best Friend: In the digital age, there is no excuse for not doing your homework. Before you book an appointment:
-
Google My Business: Read the reviews meticulously. Look for patterns. Are there complaints about infections, pain, or pushy sales tactics?
-
Social Media: Check the clinic's Facebook and Instagram pages. See how they interact with patients and respond to criticism.
-
Word of Mouth: Ask friends and family for trusted referrals.
-
-
Trust is Earned, Not Given: A good dentist will explain the entire process, discuss risks, present treatment plans, and never rush you. They will prioritize your long-term health over a quick sale.
Your oral health is the foundation of your overall well-being. It is not a place for cut-rate deals or unchecked trust. Do your research, ask the hard questions, and never be afraid to walk away from a clinic that doesn't feel right.
A bargain implant that costs you your jawbone is no bargain at all.












