Smile Again with Comfort and Confidence.
CBCT Teeth Case Analysis – Apical Infection Near Dental Implant
Severity:
Teeth Problems:
CBCT Teeth Case Analysis – Apical Infection Adjacent to Dental Implant
Case Overview
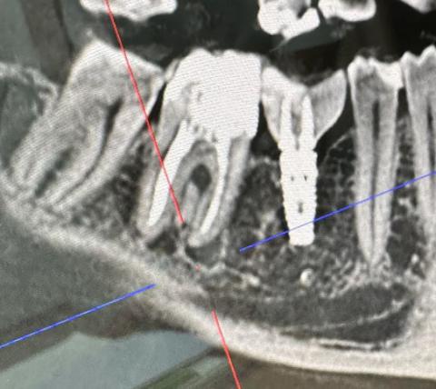
This CBCT image shows a posterior mandibular area with a natural molar next to an existing dental implant. The natural tooth presents a clear apical radiolucency, indicating infection at the root apex. Bone density changes are visible between the infected tooth and the implant site.
Full Analysis and Diagnosis
Clinical Findings
-
Natural molar with deep restoration
-
Visible apical lesion at root tip
-
Adjacent implant appears integrated
-
Localized bone loss near apical area
-
Cortical bone still intact
Radiographic Interpretation
-
Periapical radiolucency suggests chronic apical periodontitis
-
Bone trabeculation is reduced near infection site
-
Infection is in close proximity to implant threads
-
No immediate implant mobility, but risk is present
Diagnosis
-
Chronic apical infection of natural tooth
-
Secondary risk of peri-implant bone involvement
Time Frame to Heal
With Proper Treatment
-
Infection control: 7–14 days
-
Pain and inflammation reduction: within 1 week
-
Bone healing begins: 4–6 weeks
-
Radiographic bone recovery: 3–6 months
Without Treatment
-
Infection may spread toward implant
-
Progressive bone loss
-
Increased risk of peri-implantitis
-
Possible implant failure
Process to Execute (14-Day Window)
Days 1–3
-
Clinical exam and CBCT evaluation
-
Identify infection source
-
Prescribe antibiotics if indicated
Days 4–7
-
Root canal treatment or retreatment
-
Drainage if abscess is present
-
Occlusal adjustment if needed
Days 8–14
-
Follow-up assessment
-
Monitor implant stability
-
Evaluate soft tissue healing
Issues That Will Scale Up If Untreated
-
Expansion of apical lesion
-
Bone loss reaching implant surface
-
Chronic pain and swelling
-
Surgical intervention required
-
Implant loss in advanced cases
Clinical Comments
Early endodontic treatment is strongly advised. The implant is currently stable, but adjacent apical infection poses a serious long-term risk. Timely intervention can preserve both the tooth and the implant.
Find a Dental Clinic Near You
Visit our directory to locate the nearest dental clinic:
https://cebudentalimplants.com/map-dental-clinic












