Transforming Smiles, Restoring Confidence.
What Your Family Doesn't See: The Real Pillar and the Secret Destroying Your Teeth

Topics:
What Your Family Doesn't See: The Real Pillar and the Secret Destroying Your Teeth
When we think of a "pillar of the family," we imagine a strong man, capable of facing any problem, always standing firm for his loved ones. But there is a secret battle happening at night, a symptom of this strength, that is literally destroying your teeth. This is not a story of aging; it is a story of stress.
The Story of Mang Lester
Lester, a 42-year-old, is a hardworking dispatcher at a logistics company in Valenzuela. Every day, his mind is full of calculations: his two children's tuition fees, the house amortization, rice, electricity, and unexpected medical expenses.
During the day, he can smile and joke with his coworkers. But at night, while he sleeps, his body is fighting the stress he keeps inside. His jaw clenches incessantly, as if he's solving his problems in his dreams.
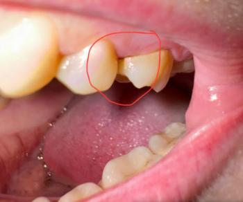
One morning, he noticed his jaw was sore and there was an unusual roughness on his front teeth. When he looked in the mirror, he saw small cracks on the edge of his canine. "I don't feel any pain, maybe I'm just tired," he assumed. But the truth was, Lester was one of thousands of Filipino men suffering from sleep bruxism, or teeth grinding at night.
The Science Behind Stress and Your Teeth
Why is it dangerous? Here is the surprising truth:
-
Strength Like a World Wrestler: During sleep or high stress, your jaw muscles can clench with a force 5 to 6 times greater than normal chewing! This is equivalent to 250 to 700 psi—enough force to:
-
Fracture the enamel (the hard outer layer of the tooth).
-
Damage your fillings or dentures.
-
Loosen your teeth over time.
-
-
Your Body Has No Brakes: Normal chewing has a "safety limit" or brake. Nighttime grinding does not. The force is direct, continuously damaging your teeth, causing micro-cracks and wear that you only notice when it starts to hurt or break.
-
It's Not Just the Teeth: Chronic grinding can:
-
Cause jaw pain (TMJ Disorder).
-
Trigger frequent morning headaches.
-
Strengthen the jaw muscles, giving the face a "more square" or wider appearance.
-
Practical and Safe Ways to Prevent It
You don't have to suffer in silence. Here are concrete steps you can take:
1. First Defense: Get a Dental Check-Up
Don't wait for your tooth to break. Tell your dentist if you feel jaw soreness or tooth wear. They can provide a Custom-Fitted Night Guard. This is a molded plastic protector that ensures your teeth grind against it, not against each other. It is the most effective way to prevent damage.
2. "Everyday" Solutions for Stress:
We can't avoid stress in life, but we can reduce it. Try these simple things:
-
"5 Minutes of Silence" Before Bed: After dinner, sit in a quiet corner. Listen to soft music, read a book, or watch a funny video. Avoid scrolling through social media or thinking about bills before sleep.
-
Exercise Somehow: Even a 15-30 minute walk after work can relieve tension throughout the body, including the jaw.
-
Watch Your Drinks: Too much coffee, energy drinks, and alcohol can intensify teeth grinding. Try to reduce them, especially in the afternoon and evening.
3. Modern Solution: Botox for the Jaw
For severe cases, Botox injections are now available. This is a procedure where Botox is injected into the masseter muscle (the large jaw muscle) to temporarily relax it and prevent the intense grinding. This is a quick and effective solution recommended by dentists.
What It Truly Means to Be Strong
Being a true pillar of the family does not mean enduring all physical pain. Taking care of your own health, including your dental health, is part of being a responsible father and husband.
Admitting that you are stressed and seeking help is not a weakness. It is a step towards becoming stronger and staying healthy—for your teeth, for your body, and for the family that depends on you.
Don't let this secret battle destroy your smile. Take action now.
TAGALOG: TRANSLATION
Ang Hindi Nakikita ng Iyong Pamilya: Ang Pagiging Tunay na Pillar at ang Lihim na Sumisira sa Ngipin Mo
Kapag iniisip natin ang isang "pillar ng pamilya," iniisip natin ang isang lalaking matatag, kayang humarap sa anumang problema, at laging nakatayo para sa kanyang mahal sa buhay. Pero may lihim na labanang nangyayari sa gabi, isang sintomas ng pagiging matatag na ito, na literal na sumisira sa iyong ngipin. Ito ay hindi kwento ng pagtanda; ito ay kwento ng stress.
Ang Kuwento ni Mang Lester
Si Lester, 42 taong gulang, ay isang masipag na dispatcher sa isang logistics company sa Valenzuela. Araw-araw, ang kanyang isipan ay puno ng kalkulasyon: ang bayad sa tuition ng dalawa niyang anak, ang hulog sa bahay, ang bigas, kuryente, at ang di-inaasahang gastos tuwing may nagkakasakit.
Sa araw, kaya niyang ngumiti at magbiro sa kanyang mga katrabaho. Pero sa gabi, habang siya'y tulog, ang kanyang katawan ay nakikipaglaban sa mga stress na kanyang kinikimkim. Ang kanyang panga ay kumakagat nang walang patid, na para bang nilulutas niya ang mga problema sa kanyang panaginip.
Isang umaga, napansin niyang sumasakit ang kanyang panga at may kakaibang paghaplos sa kanyang mga ngipin sa harapan. Nang tingnan niya ito sa salamin, nakita niya ang maliliit na bitak sa gilid ng kanyang pangil. "Wala naman akong nararamdamang sakit, baka pagod lang," ang palagay niya. Pero ang totoo, si Lester ay isa sa libu-libong lalaking Pilipino na dumaranas ng sleep bruxism, o ang pagngangalit ng ngipin sa gabi.
Ang Agham sa Likod ng Stress at ng Iyong Ngipin
Bakit ito mapanganib? Narito ang nakakagulat na katotohanan:
-
Lakas na Parang Pandaigdigang Wrestler: Habang tulog o sobrang stress, ang mga kalamnan ng iyong panga ay maaaring kumagat nang may lakas na 5 hanggang 6 na beses kaysa sa normal na pagnguya! Ito ay katumbas ng 250 hanggang 700 psi—sapat na lakas upang:
-
Mabasag ang enamel (ang matigas na panlabas na layer ng ngipin).
-
Masira ang iyong mga fillings o pustiso.
-
Paluwagin ang iyong mga ngipin sa paglipas ng panahon.
-
-
Walang Preno ang Katawan Mo: Ang normal na pagnguya ay may "safety limit" o preno. Ang pagngangalit sa gabi, walang ganito. Diretso ang pwersa, tuluyang sumisira sa iyong ngipin na nagdudulot ng mga micro-crack at pagkapudpod na bago mo lang mapansin kapag sumakit na o nabasag na.
-
Hindi Lang Ngipin ang Apektado: Ang pangmatagalang pagngangalit ay maaaring:
-
Magdulot ng pananakit ng panga (TMJ Disorder).
-
Mag-trigger ng madalas na headache sa umaga.
-
Magpalamig ng mga kalamnan ng panga, na nagbibigay ng "mas square" o mas malapad na itsura sa mukha.
-
Praktikal at Ligtas na Paraan Para Maagapan Ito
Hindi kailangang magdusa nang tahimik. Narito ang mga konkretong hakbang na maaari mong gawin:
1. Unang Depensa: Magpa-Dental Check-Up
Huwag mong hintayin na mabasag ang ngipin mo. Sabihin sa iyong dentista kung may nararamdamang pananakit ng panga o pagkapudpod ng ngipin. Maaari ka niyang bigyan ng Custom-Fitted Night Guard. Ito ay isang naka-mold na plastic na panangga na sinisigurong ang iyong mga ngipin ang magsasalpok dito, hindi sa bawat isa. Ito ang pinakaepektibong paraan para mapigilan ang pinsala.
2. Mga "Pang-Araw-Araw" na Solusyon sa Stress:
Hindi natin maiiwasan ang stress sa buhay, pero maaari natin itong bawasan. Subukan ang mga simpleng bagay na ito:
-
"5-Minutong Katahimikan" Bago Matulog: Matapos maghapunan, umupo sa isang tahimik na sulok. Magpatugtog ng mahinang musika, magbasa ng libro, o manood ng nakakatawang video. Iwasan ang pag-scroll sa social media o pag-iisip ng mga bayarin bago matulog.
-
Mag-ehersisyo Kahit Papano: Kahit 15-30 minutong lakad pagkatapos ng trabaho ay nakakapagpawala ng tension sa buong katawan, kasama na ang panga.
-
Bantayan ang Inumin: Ang sobrang kape, energy drinks, at alkohol ay pampatindi ng pagngangalit ng ngipin. Subukang bawasan, lalo na sa hapon at gabi.
3. Modernong Lunas: Botox para sa Panga
Para sa mga malalang kaso, mayroon nang Botox injections. Ito ay isang pamamaraan kung saan ang botox ay inieksyon sa masseter muscle (ang malaking kalamnan sa panga) para pansamantalang pahinain ito at pigilan ang napakalakas na paggiling. Ito ay isang mabilis at epektibong solusyon na inirerekomenda ng mga dentista.
Ang Pagiging Tunay na Matatag
Ang pagiging tunay na pillar ng pamilya ay hindi nangangahulugan ng pagtiis sa lahat ng sakit ng katawan. Ang pag-aalaga ng iyong sariling kalusugan, kasama na ang kalusugan ng iyong ngipin, ay bahagi ng pagiging responsableng ama at asawa.
Ang pag-amin na ikaw ay stress at humingi ng tulong ay hindi kahinaan. Ito ay isang hakbang upang mas maging matatag at manatiling malusog—para sa iyong ngipin, para sa iyong katawan, at para sa iyong pamilyang umaasa sa iyo.
Huwag hayaang sirain ng lihim na labanang ito ang iyong ngiti. Kumilos na ngayon.











