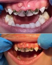
Your Smile, Perfected with Precision.
Green Apple Dental Cebu - Ayala center cebu / Cebu City

Geolocation Clinic:
Telephone / Mobile :
09173086615 / (032) 346 4763 / cebugreenappledental@gmail.com
Discover Bright Smiles at Green Apple Dental – Your Trusted Dentist in Ayala Center Cebu
If you’re looking for professional dental care right in the heart of Cebu City, Green Apple Dental Cebu is the place to be. Conveniently located at Ayala Center Cebu, our clinic combines expert dental care with a comfortable, modern environment—right where you shop, dine, and unwind.
A Great Location, Even Greater Smiles
Accessibility is key—and that’s why our clinic’s location inside Ayala Center Cebu makes it easy for you to prioritize your dental health without disrupting your schedule. Whether you're stopping by during lunch, after work, or on the weekend, visiting us is always convenient.
Find us easily with Waze: Green Apple Dental Cebu on Waze
Why Choose Green Apple Dental?
-
Expert Dentists You Can Trust
Our team of experienced dental professionals is committed to helping you achieve optimal oral health. From routine cleanings to cosmetic and restorative procedures, we’ll guide you every step of the way. -
Modern Dental Technology
We use up-to-date tools and techniques to ensure your comfort and deliver top-tier results. -
Warm, Friendly Atmosphere
At Green Apple Dental, we treat our patients like family. Your comfort, safety, and satisfaction always come first.
“Your smile is our passion. Let us help you keep it healthy, bright, and confident.”
— Green Apple Dental Cebu Team
Come Visit Us Today
Whether you're due for a check-up, need a dental consultation, or are thinking about a smile makeover, Green Apple Dental Cebu is ready to welcome you. Walk-ins are welcome, or book an appointment with us for faster service.
Experience the care, comfort, and convenience that have made us one of Cebu City's most trusted dental clinics.
Location: Ayala Center Cebu, Cebu City
Facebook: facebook.com/GreenAppleAyala
Waze Directions: Get Directions
Links:
https://www.facebook.com/GreenAppleAyala/
https://www.waze.com/af/live-map/directions/ph/central-visayas/cebu-city...
Reviews:







