Swollen Tongue Case Analysis and Healing Timeline
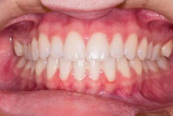
Teeth Case – Full Analysis and Provisional Diagnosis (Zoom 100%)
This assessment is based on a single photographic image. A definitive diagnosis requires an in-person oral examination. Tongue swelling can have multiple causes; persistent or worsening symptoms require prompt professional evaluation.
1. Visual Findings (Deep Examination)
-
Tongue (dorsal surface):
-
Noticeable generalized swelling with a rounded, enlarged appearance.
-















