Transforming Smiles, Restoring Confidence.
Decayed Molar Tooth with Failed Filling Case Analysis
Severity:
Teeth Problems:
Dental Case Analysis: Decayed Molar with Damaged Filling
Case Overview
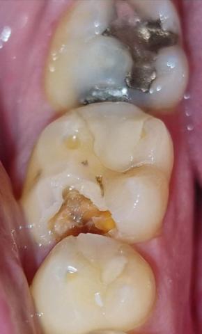
The image shows posterior molar teeth with visible tooth decay and a failing restoration. One tooth has a large cavity with exposed dentin, while the adjacent tooth shows an old metallic filling with possible marginal breakdown.
Zoom 100% Visual Examination
Observed Findings
-
Large open cavity on the chewing surface of a molar
-
Visible brown and yellow decayed dentin
-
Loss of enamel structure
-
Adjacent molar has an old metallic (amalgam) filling
-
Possible leakage around the filling margins
-
Gum tissue nearby appears mildly irritated
-
Food retention area present inside the cavity
Diagnosis
Primary Diagnosis
-
Dental caries (advanced occlusal decay)
Secondary Diagnosis
-
Failing dental restoration
-
Risk of pulp involvement if untreated
Treatment Objective
-
Remove all decayed tooth structure
-
Prevent infection spread
-
Restore tooth function and structure
-
Relieve pain and sensitivity
Treatment Process to Execute
Step-by-Step Plan
-
Clinical examination and dental X-ray
-
Complete caries removal
-
Assessment of pulp vitality
-
Tooth restoration:
-
Composite filling or
-
Inlay/onlay or
-
Root canal treatment if pulp is infected
-
-
Crown placement if tooth structure is weak
Healing and Treatment Time Frame
First 14 Days
-
Pain relief after decay removal
-
Sensitivity may reduce significantly
-
Gum irritation begins to heal
After 14 Days
-
Restored tooth regains function
-
Infection risk greatly reduced
-
Normal chewing comfort returns
If Treatment Is Delayed
Issues That May Scale Up
-
Severe toothache
-
Tooth infection or abscess
-
Nerve damage requiring root canal
-
Tooth fracture
-
Possible tooth loss
Professional Comments
-
Condition is serious and progressive
-
Immediate dental treatment is strongly advised
-
Early restoration can save the tooth
-
Delay increases cost and complexity
Recommendation
Visit a nearby dental clinic as soon as possible for:
-
Decay removal
-
Proper restoration
-
Infection prevention
Find a dental clinic near you:
https://cebudentalimplants.com/map-dental-clinic












