Your Smile, Our Passion.
Why Am I Not Numb? The Hidden Link Between Chronic Alcohol Use and Local Anesthesia Failure in Dentistry
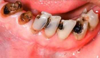
Severity:
Teeth Problems:
The Dental Nightmare: When Local Anesthesia Fails
A dental procedure where the patient is still feeling pain because the local anesthesia (LA) is ineffective is one of the worst-case scenarios for both the patient and the dental professional. This situation, particularly in a patient with a long history of heavy alcohol consumption, is not only distressing but medically complex.
Deep Dive: Why Alcoholism Blocks Anesthesia
For a long-term, heavy alcohol drinker, the failure of local anesthesia to achieve proper numbness is a common and predictable complication rooted in several physiological changes:
1. Liver Enzyme Alterations (Metabolic Tolerance)
-
The Problem: The liver of a chronic alcohol user is highly efficient at metabolizing foreign substances (like drugs and anesthetic agents) due to the upregulation of certain enzymes (such as Cytochrome P450, or CYP450).
-
The Result: The body processes and breaks down the anesthetic agent (like Lidocaine or Articaine) much faster than in a non-drinker. The drug is swept away from the nerve site and eliminated from the body before it can fully bind to the nerve receptors and block the pain signal.
2. Decreased Pain Receptor Sensitivity
-
The Problem: Chronic alcohol use changes the way the central nervous system (CNS) perceives pain. Alcohol acts as a CNS depressant; over time, the body compensates by increasing the activity of excitatory neurotransmitters.
-
The Result: The patient may develop a cross-tolerance to CNS depressants, including local anesthetics. Essentially, the patient's nerves require a much higher dose or concentration of the anesthetic to block the pain signals compared to an average patient.
3. Increased Acidity and Inflammation
-
The Problem: Local anesthetics are weak bases. They must convert to their active, charged form once inside the body to block the nerve's sodium channels. In areas of inflammation or infection (common in patients with poor oral health exacerbated by alcohol), the surrounding tissues are more acidic (lower pH).
-
The Result: The acidic environment chemically prevents the LA from converting to its active form, making the injection less effective or even completely inert.
The Immediate and Long-Term Advice
Dealing with this situation requires both an immediate fix during the appointment and a long-term strategy for subsequent care.
1. Immediate Advice (During the Appointment)
| Action | Rationale |
| Stop and Re-Evaluate | Do not proceed if the patient feels pain. Continuing can cause trauma, fear, and nerve damage. |
| Change Anesthetic Type/Concentration | Switch from a standard anesthetic (e.g., 2% Lidocaine) to a stronger alternative (e.g., 4% Articaine) or an anesthetic with a higher vasoconstrictor content (Epinephrine) to keep the drug at the injection site longer. |
| Change Injection Technique | Administer a supplementary injection, such as a Periodontal Ligament (PDL) injection or an Intraosseous (IO) injection, to deliver the anesthesia directly into the bone near the tooth, bypassing the acidic tissue. |
| Consider Sedation | If maximum safe LA doses fail, reschedule the procedure and plan for Conscious Sedation (like Nitrous Oxide/Laughing Gas or oral anxiolytics) to help manage the patient's anxiety and pain perception. |
2. Long-Term Advice for the Patient
-
Communicate Clearly: The patient must always disclose their history of alcohol consumption to any new dental professional. This information is crucial for planning the appropriate anesthetic dosage and technique.
-
Address Underlying Health: Encourage the patient to seek treatment for their alcohol use disorder. Resolving the addiction will improve liver function and significantly increase the effectiveness of all future medical and dental procedures.
-
Higher Doses: Accept that future dental visits will likely require higher doses and multiple techniques to achieve full numbness.
-
Advanced Planning: For complex procedures (like extractions or root canals), the dentist may need to premedicate with an anti-inflammatory or anti-anxiety drug hours before the appointment to optimize the tissue environment and the patient's state of mind.
This worst-case scenario underscores the vital link between systemic health and effective dental care. The gums might be the target, but the issue originates in the body's metabolism.












