Strong Teeth, Fresh Breath, Brighter You.
Bleeding Gums Near Molars - Zoomed Dental Case and Scaling Analysis
Severity:
Teeth Problems:
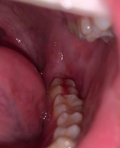
Teeth Case – Zoom 100%
Focused Area: Posterior teeth (molar region) and surrounding gingival tissue
Full Analysis and Visual Examination
This evaluation is based solely on the provided image and does not replace a full clinical examination or dental X-rays.
Observed Findings
-
Localized gum redness and bleeding near the molar gum margin
-
Soft tissue appears inflamed and irritated
-
Area is difficult to clean, making it prone to plaque retention
-
No obvious fracture or large cavity visible at this zoom level
-
Possible early pocket formation cannot be ruled out without probing
Probable Diagnosis
-
Plaque-induced gingivitis in the molar region
-
Localized gingival trauma or inflammation
-
Early risk of posterior periodontal disease if untreated
Recommended Treatment Process
Step 1: Full Mouth Scaling and Polishing (Day 1)
-
Ultrasonic scaling to remove plaque and calculus around molars
-
Hand scaling in deep posterior areas
-
Polishing to reduce plaque re-accumulation
Estimated duration: 45–60 minutes
Anesthesia: May be required if gums are very sensitive
Step 2: Healing and Recovery Timeline
| Time Frame | Expected Healing Response |
|---|---|
| Days 1–3 | Bleeding reduces, tenderness may persist |
| Days 4–7 | Gum inflammation decreases |
| Days 8–14 | Gums return to healthier color and firmness |
A 14-day healing period is realistic with proper oral hygiene.
Potential Issues If Scaling Is Delayed
-
Persistent gum bleeding
-
Progression to periodontitis in hard-to-clean molar areas
-
Formation of periodontal pockets
-
Bone loss around molars
-
Increased risk of tooth mobility and tooth loss
Post-Treatment Care Recommendations
-
Brush twice daily with a soft-bristle toothbrush
-
Pay special attention to molar and back teeth
-
Use dental floss or interdental brushes daily
-
Rinse with warm salt water or dentist-prescribed mouthwash
-
Avoid smoking and reduce sugary foods during healing
Professional Comment
Posterior gum inflammation often progresses faster than front teeth issues due to poor visibility and cleaning difficulty. Early professional scaling is essential to prevent long-term periodontal damage in this area.
Visit a Dental Clinic Near You
For professional scaling and gum assessment, search for a nearby dental clinic using our directory:












