Gum Recession After Braces or Retainer: Causes, Healing Time, and Treatment Options
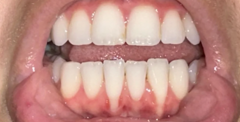
Clinical summary (based on the photo)
-
Visible localized gum recession on the lower anterior teeth (root exposure at multiple incisors), with the gingival margin apically displaced from the CEJ.
-
Gingiva looks slightly inflamed in some areas (reddish band), but there’s no obvious acute swelling or pus in the image.
-
Likely increased root sensitivity risk due to exposed root surfaces.












