From Pain to Perfect — We Care for Your Smile.
Tooth Discoloration and Pain: Early Signs of Pulpal Damage or Infection
Severity:
Full Analysis and Diagnosis (Zoom 100%)
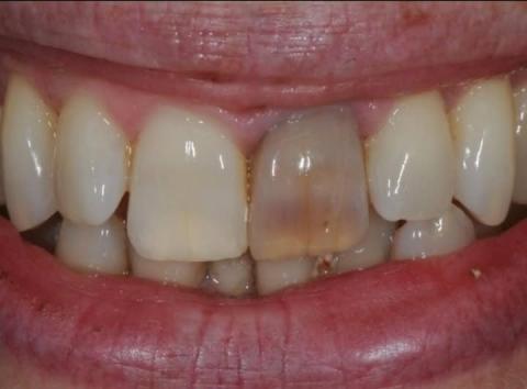
Upon close observation, one of the upper front teeth shows visible dark discoloration—a likely indication of pulpal necrosis or internal tooth trauma. This often happens when the tooth’s nerve dies due to deep decay, previous injury, or infection spreading inside the pulp chamber. The surrounding gumline also appears slightly inflamed, which can contribute to pain and pressure sensitivity.
Client Report:
“Need help, it is painful.”
Pain is a clear symptom of possible nerve inflammation or infection beneath the root. If untreated, this may progress into an abscess, bone infection, or swelling of nearby tissues.
Detailed Examination:
-
Primary concern: Tooth discoloration (gray-brown) with pain
-
Possible causes:
-
Dead or infected pulp
-
Post-traumatic discoloration
-
Deep caries reaching the nerve
-
Microleakage under an old restoration
-
-
Secondary issues: Gum irritation and possible periapical infection
Process to Execute:
-
Clinical and Radiographic Evaluation – X-ray to confirm root and bone condition.
-
Root Canal Treatment (RCT) – Recommended to clean infected pulp and seal the root canal.
-
Internal Bleaching or Crown Placement – For aesthetic restoration after infection control.
-
Pain Management – Prescribe antibiotics and analgesics as needed.
Time Frame to Heal:
-
Root Canal Therapy: 7–14 days for full treatment and healing phase
-
Discoloration Correction: After RCT, internal bleaching or crown can be completed in 1–2 additional visits
What Will Scale Up if Ignored:
-
Spreading infection to jawbone
-
Swelling of gums or face
-
Tooth loss or bone resorption
-
Systemic infection risk if bacteria spread
Comments:
Immediate dental intervention is necessary to prevent worsening pain or infection. Avoid delaying treatment, as infection may reach surrounding tissues and nerves.
Visit Nearest Location Area:
Search the nearest dental clinic using our directory:
https://cebudentalimplants.com/map-dental-clinic












