From Pain to Perfect — We Care for Your Smile.
Wisdom Tooth Impaction: Why Early Removal Matters for Your Oral Health
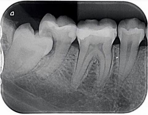
Severity:
Teeth Problems:
Case Analysis:
Upon examining the dental X-ray, it shows a partially erupted third molar (wisdom tooth) that is horizontally impacted against the adjacent second molar. This type of impaction is known to cause several complications if left untreated.
The close proximity and pressure from the impacted wisdom tooth may lead to food impaction, gum inflammation, interproximal caries, root resorption, and even infection spreading to surrounding tissues. The area also appears prone to bacterial accumulation due to limited cleaning access, which can result in bad breath, gum bleeding, and localized pain.
Diagnosis:
-
Horizontally impacted third molar (wisdom tooth)
-
Early carious lesion risk on the distal aspect of the adjacent molar
-
Potential pericoronitis or localized periodontal inflammation
Recommended Treatment:
It is highly recommended to remove the wisdom tooth to prevent further damage to the second molar and to maintain overall oral health.
Procedure:
-
Surgical extraction under local anesthesia
-
Debridement and cleaning of the affected area
-
Prescribed antibiotics (if necessary)
-
Follow-up visits to monitor healing progress
Healing Time Frame:
Initial recovery usually takes about 14 days, depending on the patient’s oral hygiene, tissue response, and adherence to post-operative care.
If Left Untreated:
The issue may progress within weeks to months, causing:
-
Deep tooth decay in the adjacent molar
-
Chronic gum infection and swelling
-
Root resorption or bone loss
-
Persistent jaw pain or cyst formation
Preventive extraction remains the best approach to protect nearby teeth and ensure a healthy bite alignment.
Comments:
Taking care of your oral health today helps you avoid future dental complications. If you’re experiencing discomfort or swelling near your wisdom tooth, consult a licensed dentist as soon as possible.
Visit Your Nearest Clinic:
Search for a dental clinic near you using our directory listing:
https://cebudentalimplants.com/map-dental-clinic
Book an appointment before pain or infection worsens—your oral health deserves timely attention.
Maria’s Wisdom Tooth Journey: A Lesson in Preventive Care
Maria, a 27-year-old professional, had been ignoring a dull ache at the back of her jaw for months. She thought it was just stress or maybe a sore gum from brushing too hard. But one morning, she woke up with swollen gums and a strange taste in her mouth.
When she finally visited her dentist, an X-ray revealed the culprit — a horizontally impacted wisdom tooth pressing against her molar. Food had been trapped in the gap for weeks, causing inflammation, bleeding gums, and early signs of tooth decay on the second molar.
Her dentist explained that if she waited longer, the infection could spread deeper, leading to root damage or even a painful abscess. Maria decided to go through with the surgical extraction right away.
After the procedure, she followed her post-op care strictly — soft diet, warm saltwater rinses, and rest. Within 14 days, her gums healed beautifully, and the nagging pain disappeared.
Now, Maria often reminds her friends:
“Don’t wait for pain to get worse. That little discomfort might be your body’s way of saying, it’s time to visit the dentist!”












