From Pain to Perfect — We Care for Your Smile.
From Accident to Action: Addressing Teen Tooth Loss in Filipino Communities
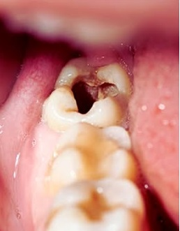
Severity:
Teeth Problems:
The Unseen Fall: How a Missing Tooth is Reshaping a Teen's Future in the Philippines
The mountain air of Mindanao rushed past Miguel, a vibrant 17-year-old, as he navigated the familiar dirt road on his motorbike. He felt free, the helmet forgotten at home—a small, unthinking decision. When the front wheel hit a loose stone, the world flipped. The physical scrapes and bruises healed in weeks, but the real consequence was a gap in his smile where a front tooth used to be.
Miguel's story is heartbreakingly common. The initial reaction is often to shrug it off. "It's just one tooth," or "It's at the back, no one sees it." But this mindset is a dangerous gamble with your health and future. For a teenager like Miguel, a missing tooth is not the end of the story. It is the beginning of a silent crisis that can reshape his face, his confidence, and his life.
The Domino Effect: What Really Happens When You Lose a Tooth
The moment a tooth is lost, a silent chain reaction begins in your mouth. Your teeth are a team, and when one player leaves, the entire structure becomes unstable.
The Great Shift
The teeth adjacent to the gap will slowly tilt and drift into the empty space. This turns a straight smile crooked and creates hard-to-clean areas that become breeding grounds for more cavities and gum disease.
The Opposing Tooth Goes Rogue
The tooth above or below the gap has nothing to bite against. It begins to "super-erupt," growing out of its socket, becoming loose and sensitive, further ruining your bite.
The Hidden Change: Jawbone Shrinkage
Your jawbone needs the stimulation from the tooth root to stay strong. Without it, the bone in that area melts away in a process called resorption. This is the root cause of a sunken, aged facial appearance—a change that can make a young person look older.
A Crisis of Confidence
For a teenager, the physical changes are only half the battle. A compromised smile can lead to crippling shyness, social withdrawal, and a reluctance to participate in class, ultimately stealing the confidence needed to build a future.
You Can Stop the Domino Effect: Solutions for a Missing Tooth
The good news is that the damage can be stopped. Replacing a missing tooth is an investment in your long-term health and well-being. The best solution depends on your specific situation, but the key is to act quickly to preserve your jawbone and facial structure.
Here are the primary options for replacing a single missing tooth
Dental Implant
A titanium post is surgically placed into the jawbone to act as an artificial root. A crown is then attached. This is the most durable and natural-feeling option. It is the only solution that prevents bone loss and is considered a long-term investment in your health.
Fixed Bridge
A false tooth is anchored to the two adjacent healthy teeth, which are capped with crowns. This provides a fixed, non-removable solution and does not require surgery.
Removable Partial Denture
This is a removable appliance with a false tooth that clips onto adjacent teeth. It is generally the least expensive option and involves a non-surgical procedure.
For a young person like Miguel, a dental implant would be the ideal standard. It would not only fill the gap but also provide the needed stimulation to his jawbone, preventing the sunken look and preserving his youthful facial structure for years to come.
A Note to Parents and Teens: A Shift in Mindset
To the Teens
Your smile is one of your greatest assets. Protecting it is an act of self-respect. Break the cultural cycle of simply enduring pain. Dental discomfort is a message from your body—do not ignore it. And please, always wear a helmet. It protects your head and your smile.
To the Parents and Guardians
A dental problem is a health problem. Investing in your child's dental health is investing in their overall well-being, confidence, and ability to succeed. It is not a frivolous expense. It is a necessity.
The Takeaway: Do Not Just Endure, Restore
Losing a tooth is a traumatic event, but it does not have to define your future. By understanding the profound consequences and acting swiftly to seek professional dental care, you can stop the domino effect in its tracks.
Your teeth and your future are directly connected. By honoring that connection, you are not just saving your smile. You are protecting your identity, your health, and your potential. Do not just endure the loss. End it.












