Apex Dental Clinic at Trident Park: Modern Dental Care for Healthy, Confident Smiles
About Apex Dental Clinic at Trident Park
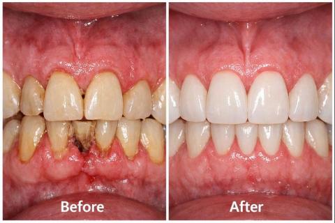
Located in the heart of Trident Park, Apex Dental Clinic is a modern dental practice dedicated to providing comprehensive, high-quality dental care in a calm and professional environment. Drawing inspiration from their official website, the clinic combines advanced dental technology with patient-focused care, ensuring treatments are efficient, safe, and tailored to individual needs.
















