Strong Teeth, Fresh Breath, Brighter You.
Comprehensive Orthodontic Analysis: Severe Maxillary and Mandibular Dental Crowding
Severity:
Teeth Problems:
Full Analysis and Diagnosis
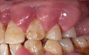
Based on the provided intraoral photograph, the primary and most significant diagnosis is Severe Maxillary and Mandibular Dental Crowding with associated Malocclusion.
Detailed Examination:
-
Maxillary Arch (Upper Jaw):
-
Severe Crowding: There is a significant lack of space for the teeth to align.
-
Canine Impaction/Ectopic Eruption: The upper Canine (cuspid) teeth (the pointed teeth) appear to be severely displaced, erupting high above the arch (ectopic eruption). This is a common consequence of lack of space and may indicate an impacted status that required surgical exposure, or simply a severe malposition.
-
Midline Discrepancy: The upper front teeth (incisors) may not be perfectly aligned with the lower ones or the facial midline.
-
Arch Form: The arch appears constricted or "V-shaped" rather than the ideal broad, "U-shape."
-
-
Mandibular Arch (Lower Jaw):
-
Moderate to Severe Crowding: The lower anterior (front) teeth are visibly rotated and overlapping, indicating significant space deficiency.
-
Gingival Status: While not the primary focus, the crowding makes effective brushing and flossing difficult, which can lead to increased plaque retention, gingivitis, and potential periodontal issues in the future.
-
-
Occlusion (Bite):
-
The severe crowding and canine position make a proper Class I (ideal) occlusion impossible. The case likely presents with an Angle's Class II Malocclusion or a complex variant due to the extent of the anterior displacement and crowding.
-
There appears to be an increased overbite (vertical overlap of front teeth) and potentially a deep bite, though a lateral view would be needed for a definitive assessment.
-
Process to Execute (General Treatment Pathway)
The complex nature of this case necessitates comprehensive Orthodontic Treatment. The typical process would involve:
-
Phase 1: Diagnostic Records
-
Full set of Dental X-rays (e.g., Panoramic, Cephalometric) and 3D imaging (CBCT) to assess root angulation, bone levels, and the exact position of the impacted/ectopically erupted canines.
-
Dental Impressions/Digital Scans to create working models for treatment planning.
-
Photographs (intraoral and extraoral).
-
-
Phase 2: Space Creation
-
Given the severity, Tooth Extractions (typically of bicuspids/premolars, e.g., the four first premolars) are highly likely to create the necessary space to bring the prominent canines down and align the crowded incisors.
-
Alternatively, Maxillary Arch Expansion or Interproximal Reduction (IPR) might be considered, but is usually insufficient for severe cases like this.
-
-
Phase 3: Alignment and Leveling
-
Appliance Placement: Traditional metal/ceramic Braces or a robust system of Clear Aligners (e.g., Invisalign with specialized attachments) would be bonded/fitted.
-
The archwire/aligner sequence is used to gradually rotate, level, and align the teeth into the newly created space. The canines would be guided into the arch over several months.
-
-
Phase 4: Detailing and Finishing
-
Refining the bite, ensuring perfect intercuspation (how the upper and lower teeth meet).
-
-
Phase 5: Retention
-
Placement of Retainers (fixed/removable) to maintain the corrected position indefinitely, as teeth tend to relapse.
-
Time Frame to Heal / Treatment Duration
A severe malocclusion case requiring extractions and significant tooth movement cannot be completed in 14 days.
-
Typical Treatment Time Frame (Orthodontics):
-
This severity of case usually requires 24 to 36 months (2 to 3 years) of active treatment.
-
The most difficult movement—bringing down the high canines—is a long and slow process to protect the tooth and surrounding bone.
-
-
If it takes 14 days:
-
No meaningful correction is possible in 14 days. In this time frame, a patient could only complete the Diagnostic Records phase (X-rays, scans) and potentially the Extractions (if needed). The actual orthodontic movement and 'healing' (alignment) takes months to years.
-
What Will Be the Issue That Will Scale Up
The issues that scale up or complicate the treatment include:
-
Bone Density/Ankylosis: If the ectopic canines are ankylosed (fused to the bone), orthodontic movement will be impossible, necessitating surgical removal.
-
Root Resorption: The long duration of treatment and aggressive tooth movement needed to correct the severe rotation and displacement increases the risk of root resorption (shortening of the tooth roots), which must be monitored via X-rays.
-
Patient Compliance: Success heavily relies on the patient's discipline (e.g., wearing elastics, maintaining impeccable oral hygiene, attending all appointments). Poor compliance will significantly extend the timeline.
-
Periodontal Health: Managing potential gum inflammation (gingivitis) throughout the years of treatment, especially around crowded areas and the high canines.
Comments
This is a challenging but treatable case. The final aesthetic and functional results, if treated by a qualified orthodontist, would be dramatically improved. The patient should be prepared for a multi-year commitment and potentially multiple tooth extractions to achieve the best outcome.
Visit Nearest Location Area
To find a qualified dental professional near you who can properly diagnose and manage this complex orthodontic case, please use the provided directory link:
Directory Listing: https://cebudentalimplants.com/map-dental-clinic
Would you like me to use the directory to search for clinics in a specific city or region? For example, I could look for clinics near "Cebu City". While I cannot directly interact with a map or directory tool, the general search results indicate that the provided link, https://cebudentalimplants.com/map-dental-clinic, is designed to help you find nearby dental clinics.
Since I don't know your current location, you will need to click the link and use the map on that page to find the nearest clinic specializing in orthodontics.












