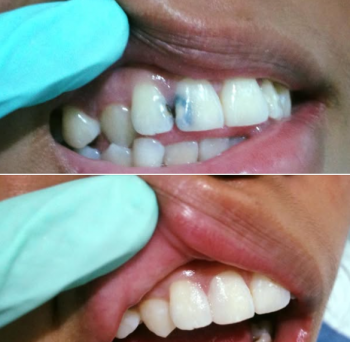
The Power of Porcelain Teeth: Boosting Your Confidence for a Perfect Amazing Smile
In Singaporez, we all know the importance of a good smile, right? Whether you're meeting someone new at worke place , makan with friends, or just jalan-jalan around town, a bright smile can make a big difference. But sometimes, stained, chipped, or uneven teeth can make us feel paiseh (embarrassed) to show off that smile.











